Niềng Răng Vẩu Có Được Không? Mất Bao Lâu Và Chi Phí Niềng Răng Vẩu 2026
Răng vẩu (hay còn gọi là răng hô) là một dạng sai lệch khớp cắn phổ biến khiến nụ cười kém hài hòa và khuôn mặt thiếu cân đối. Tình trạng này không chỉ ảnh hưởng đến thẩm mỹ mà còn có thể gây khó khăn khi ăn nhai, phát âm và làm tăng nguy cơ mắc các bệnh lý răng miệng.
Niềng răng vẩu là phương pháp chỉnh nha sử dụng mắc cài hoặc khay trong suốt để di chuyển răng về đúng vị trí trên cung hàm, từ đó cải thiện khớp cắn và giúp nụ cười trở nên hài hòa hơn. Vậy răng vẩu là gì, niềng răng vẩu mất bao lâu và chi phí niềng răng vẩu bao nhiêu tiền năm 2026? Bài viết dưới đây sẽ giúp bạn hiểu rõ chi tiết trước khi quyết định chỉnh nha.

1. Răng Vẩu Là Gì?
Răng vẩu (hay còn gọi là răng hô) là tình trạng răng hàm trên nhô ra phía trước nhiều hơn so với hàm dưới, khiến hai hàm không khớp đúng vị trí khi cắn lại. Khi nhìn nghiêng, môi trên thường nhô ra phía trước làm khuôn mặt mất cân đối và nụ cười kém hài hòa.
Trong nha khoa, răng vẩu thường được xếp vào sai khớp cắn loại II, xảy ra khi răng hoặc xương hàm trên phát triển quá mức so với hàm dưới.
Tình trạng răng vẩu có thể gây ra nhiều ảnh hưởng như:
-
Giảm thẩm mỹ nụ cười và khuôn mặt
-
Khó khăn khi ăn nhai và cắn xé thức ăn
-
Khó vệ sinh răng miệng, dễ tích tụ mảng bám
-
Tăng nguy cơ sâu răng, viêm nướu và viêm nha chu
Nếu không được điều chỉnh sớm, răng vẩu còn có thể ảnh hưởng đến khớp thái dương hàm, gây đau hàm hoặc rối loạn khớp cắn lâu dài.
Xem Thêm: Răng Hô Là Gì? Có Niềng Răng Được Không?

2. Các Dạng Răng Vẩu Thường Gặp
Trước khi quyết định niềng răng vẩu, bác sĩ cần xác định chính xác nguyên nhân gây vẩu để lựa chọn phương pháp điều trị phù hợp. Trong nha khoa, răng vẩu thường được chia thành 3 dạng phổ biến sau:
2.1. Vẩu do răng
Đây là dạng răng vẩu phổ biến nhất, xảy ra khi răng cửa hàm trên mọc chìa ra phía trước hoặc mọc sai vị trí trên cung hàm.
Đặc điểm nhận biết:
-
Xương hàm phát triển bình thường
-
Răng cửa hàm trên nhô ra phía trước
-
Hai hàm không khớp đúng khi cắn
Với trường hợp vẩu do răng, phương pháp niềng răng chỉnh nha thường mang lại hiệu quả rất tốt, giúp răng dịch chuyển về đúng vị trí trên cung hàm.
2.2. Vẩu do xương hàm
Răng vẩu do xương hàm xảy ra khi xương hàm trên phát triển quá mức hoặc xương hàm dưới phát triển kém, khiến hàm trên nhô ra phía trước.
Đặc điểm nhận biết:
-
Răng mọc tương đối đều
-
Hàm trên nhô ra rõ rệt
-
Khuôn mặt mất cân đối khi nhìn nghiêng
Trong những trường hợp vẩu do xương hàm nặng, bác sĩ có thể chỉ định kết hợp niềng răng và phẫu thuật hàm để cải thiện khớp cắn và thẩm mỹ khuôn mặt.
2.3. Vẩu do cả răng và xương hàm
Đây là dạng răng vẩu phức tạp nhất, xảy ra khi cả răng và xương hàm đều phát triển lệch.
Người bị vẩu do răng và xương hàm thường có các đặc điểm:
-
Răng cửa chìa ra ngoài nhiều
-
Xương hàm trên phát triển mạnh
-
Sai lệch khớp cắn rõ rệt
Để điều trị hiệu quả, bác sĩ thường cần kết hợp chỉnh nha và phẫu thuật hàm, giúp điều chỉnh cả vị trí răng và cấu trúc xương hàm.
Xem Thêm: Hô Hàm Trên Có Niềng Răng Được Không?
3. Tác Hại Của Răng Vẩu
Nhiều người cho rằng răng vẩu (răng hô) chỉ ảnh hưởng đến thẩm mỹ. Tuy nhiên trên thực tế, tình trạng này còn có thể gây ra nhiều vấn đề về chức năng ăn nhai và sức khỏe răng miệng nếu không được điều trị kịp thời.
Dưới đây là những tác hại phổ biến của răng vẩu.
3.1. Ảnh hưởng thẩm mỹ khuôn mặt
Răng vẩu khiến môi trên nhô ra phía trước, làm khuôn mặt mất cân đối khi nhìn nghiêng. Điều này có thể khiến nhiều người:
-
Thiếu tự tin khi giao tiếp
-
Ngại cười hoặc chụp ảnh
-
Ảnh hưởng đến thẩm mỹ tổng thể của khuôn mặt
3.2. Gây khó khăn khi ăn nhai
Sai lệch khớp cắn do răng vẩu khiến lực nhai phân bố không đều, lâu dài có thể gây ra các vấn đề như:
-
Mòn răng sớm
-
Đau hoặc mỏi khớp thái dương hàm
-
Khó nghiền nát thức ăn khi ăn nhai
3.3. Tăng nguy cơ bệnh lý răng miệng
Khi răng mọc chìa ra phía trước, việc vệ sinh răng miệng trở nên khó khăn hơn, khiến mảng bám và vi khuẩn dễ tích tụ.
Điều này có thể làm tăng nguy cơ mắc các bệnh lý như: Sâu răng, viêm nướu, viêm nha chu, hôi miệng...
Nếu không điều trị sớm, tình trạng răng vẩu có thể ảnh hưởng lâu dài đến khớp cắn, chức năng ăn nhai và sức khỏe răng miệng tổng thể.
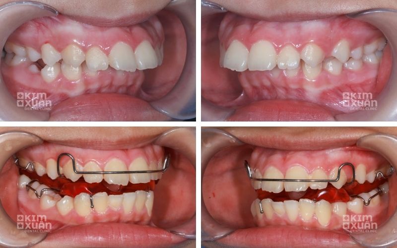
4. Niềng Răng Vẩu Có Được Không?
Câu trả lời là có. Trong nhiều trường hợp, niềng răng vẩu có thể điều trị hiệu quả và giúp cải thiện rõ rệt cả thẩm mỹ lẫn chức năng ăn nhai.
Phương pháp niềng răng vẩu sử dụng các khí cụ chỉnh nha để tạo lực nhẹ và liên tục, giúp răng dịch chuyển dần về đúng vị trí trên cung hàm. Nhờ đó, khớp cắn được điều chỉnh và nụ cười trở nên hài hòa hơn.
Hiện nay, bác sĩ có thể sử dụng nhiều loại khí cụ niềng răng khác nhau như:
-
Niềng răng mắc cài kim loại
-
Niềng răng mắc cài sứ thẩm mỹ
-
Niềng răng mắc cài tự buộc
-
Niềng răng trong suốt Invisalign
Tùy vào mức độ răng vẩu và tình trạng khớp cắn, bác sĩ sẽ tư vấn phương pháp niềng răng phù hợp để đạt hiệu quả điều trị tối ưu.
Xem Thêm: Niềng Răng Móm Có Hiệu Quả Không?
Xem Thêm: 30 Tuổi Có Niềng Răng Được Không?
5. Niềng Răng Vẩu Mất Thời Gian Bao Lâu?
Thời gian niềng răng vẩu thường kéo dài từ khoảng 18 - 30 tháng, tùy thuộc vào mức độ sai lệch khớp cắn và tình trạng răng của từng người.
Trong một số trường hợp răng vẩu nhẹ, thời gian niềng răng có thể rút ngắn xuống khoảng 12 - 18 tháng. Tuy nhiên, với những trường hợp vẩu nặng hoặc liên quan đến xương hàm, thời gian điều trị có thể kéo dài hơn.
Các yếu tố ảnh hưởng đến thời gian niềng răng vẩu bao gồm:
-
Mức độ sai lệch khớp cắn
-
Độ tuổi niềng răng
-
Phương pháp chỉnh nha được lựa chọn
-
Mức độ tuân thủ hướng dẫn của bác sĩ (đeo thun, tái khám đúng lịch…)
Việc thăm khám và chụp phim CT 3D hoặc X-quang sẽ giúp bác sĩ đánh giá chính xác tình trạng răng và đưa ra kế hoạch niềng răng phù hợp.
Xem Thêm: Niềng Răng Móm Mất Bao Lâu?

6. Niềng Răng Vẩu Giá Bao Nhiêu Tiền?
Chi phí niềng răng vẩu hiện nay thường dao động từ khoảng 35 - 100 triệu đồng, tùy thuộc vào phương pháp chỉnh nha, mức độ răng vẩu và tình trạng khớp cắn của từng người.
Mỗi phương pháp niềng răng sẽ có mức chi phí khác nhau. Dưới đây là bảng giá niềng răng vẩu tham khảo hiện nay:
|
Phương Pháp Niềng Răng |
Chi Phí Tham Khảo |
|---|---|
|
Niềng răng mắc cài kim loại |
35.000.000 VNĐ |
|
Niềng răng mắc cài sứ |
40.000.000 VNĐ |
|
Niềng răng mắc cài tự buộc |
45.000.000 - 50.000.000 VNĐ |
|
Niềng răng trong suốt Invisalign |
49.000.000 - 100.000.000 VNĐ |
Chi phí niềng răng vẩu cụ thể sẽ được bác sĩ xác định sau khi thăm khám, chụp X-quang hoặc CT 3D để đánh giá tình trạng răng, khớp cắn và xương hàm. Từ đó, bác sĩ sẽ xây dựng phác đồ điều trị cá nhân hóa nhằm đảm bảo hiệu quả chỉnh nha và thời gian niềng răng phù hợp.
Xem Thêm: Bảng Giá Niềng Răng Tại Nha Khoa Kim Xuân
Xem Thêm: Niềng Răng Mọc Lệch Lạc Giá Bao Nhiêu?
Xem Thêm: Niềng Răng Mắc Cài Kim Loại Có Tốt Không?
Xem Thêm: Niềng Răng Mắc Cài Sứ Là Gì?

7. Khi Nào Nên Niềng Răng Vẩu?
Bạn nên thăm khám nha khoa sớm nếu nhận thấy các dấu hiệu của răng vẩu (răng hô). Việc phát hiện và niềng răng vẩu kịp thời sẽ giúp quá trình điều trị dễ dàng hơn và đạt hiệu quả thẩm mỹ tốt hơn.
Một số dấu hiệu cho thấy bạn nên cân nhắc niềng răng vẩu gồm:
-
Răng cửa hàm trên chìa ra phía trước
-
Hai hàm không khớp đúng khi cắn lại
-
Khó khép môi một cách tự nhiên
-
Khuôn mặt mất cân đối khi nhìn nghiêng
-
Khó khăn khi ăn nhai hoặc phát âm
Việc niềng răng vẩu sớm không chỉ giúp cải thiện thẩm mỹ nụ cười mà còn hỗ trợ điều chỉnh khớp cắn, hạn chế các vấn đề răng miệng về lâu dài.
Xem Thêm: Sau Khi Niềng Răng Nên Ăn Gì Kiêng Gì?
8. Câu Hỏi Thường Gặp?
8.1. Răng vẩu có niềng được không?
Có. Phần lớn các trường hợp răng vẩu do răng đều có thể điều trị hiệu quả bằng niềng răng chỉnh nha. Phương pháp này giúp dịch chuyển răng về đúng vị trí trên cung hàm, từ đó cải thiện khớp cắn và thẩm mỹ nụ cười.
Tuy nhiên, với trường hợp vẩu do xương hàm nặng, bác sĩ có thể chỉ định kết hợp niềng răng và phẫu thuật hàm để đạt hiệu quả tối ưu.
8.2. Niềng răng vẩu có cần nhổ răng không?
Trong một số trường hợp răng chen chúc hoặc hô nhiều, bác sĩ có thể chỉ định nhổ răng tạo khoảng. Việc này giúp răng có đủ không gian để dịch chuyển về đúng vị trí khi niềng răng.
Tuy nhiên, không phải trường hợp niềng răng vẩu nào cũng cần nhổ răng. Quyết định này sẽ được bác sĩ đưa ra sau khi thăm khám và phân tích phim X-quang.
8.3. Niềng răng vẩu có đau không?
Khi bắt đầu niềng răng vẩu, bệnh nhân có thể cảm thấy ê hoặc căng nhẹ trong vài ngày đầu sau khi gắn mắc cài hoặc siết dây cung. Đây là phản ứng bình thường do răng đang dịch chuyển.
Cảm giác này thường giảm dần sau vài ngày khi răng và mô nướu thích nghi với lực chỉnh nha.
Xem Thêm: Niềng Răng Có Đau Không?
8.4. Niềng răng vẩu bao nhiêu tuổi là tốt nhất?
Độ tuổi lý tưởng để niềng răng vẩu thường từ 12 - 18 tuổi, khi xương hàm vẫn đang phát triển nên việc chỉnh nha sẽ thuận lợi hơn.
Tuy nhiên, người trưởng thành vẫn có thể niềng răng và đạt hiệu quả tốt nếu có kế hoạch điều trị phù hợp từ bác sĩ chỉnh nha.
Kết Luận
Răng vẩu không chỉ ảnh hưởng đến thẩm mỹ nụ cười mà còn có thể gây sai lệch khớp cắn, khó khăn khi ăn nhai và làm tăng nguy cơ các bệnh lý răng miệng như sâu răng, viêm nướu hay viêm nha chu. Hiện nay, niềng răng vẩu là phương pháp chỉnh nha hiệu quả giúp đưa răng về đúng vị trí trên cung hàm, cải thiện khớp cắn và mang lại nụ cười hài hòa. Thời gian niềng răng thường từ 12 - 30 tháng, tùy vào mức độ vẩu và phương pháp điều trị.
Nếu bạn đang băn khoăn niềng răng vẩu mất bao lâu và chi phí bao nhiêu, hãy đến Nha Khoa Kim Xuân để được bác sĩ thăm khám, chụp phim và tư vấn phác đồ chỉnh nha phù hợp.
Nha Khoa Kim Xuân - Bình Thạnh TP. HCM
Địa Chỉ: 165 Ngô Tất Tố, Phường Thạnh Mỹ Tây, Tp Hồ Chí Minh
Hotline: 0899 922 668 (Viber, Zalo, FaceTime)
ZaLo: https://zalo.me/nhakhoakimxuan
WebSite: https://nhakhoakimxuan.com.vn
