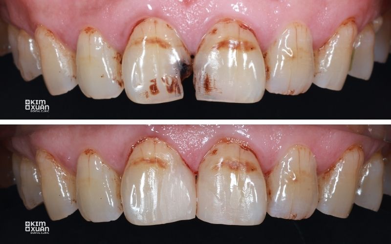
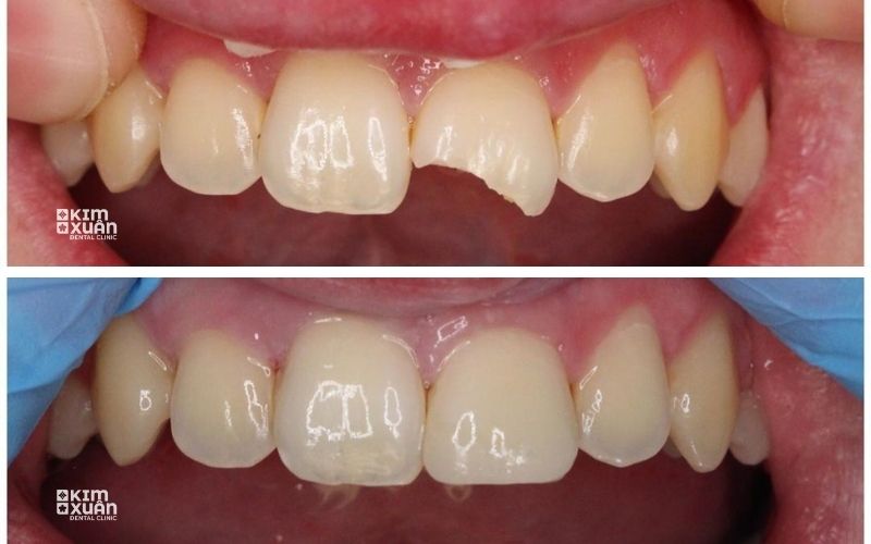
Trám răng (hàn răng) thường là phương pháp phục hồi răng sâu, răng mẻ nhanh chóng và tiết kiệm. Tuy nhiên, nhiều người sau khi trám răng lại gặp tình trạng đau nhức, ê buốt, thậm chí răng trám lâu ngày bị đau trở lại. Đây là vấn đề phổ biến nhưng không nên chủ quan vì có thể liên quan đến viêm tủy, sâu răng tái phát hoặc miếng trám kém chất lượng.
Vậy tại sao răng trám lại bị nhức? Trám răng đau bao lâu thì hết? Và cách khắc phục thế nào để an toàn, hiệu quả? Cùng tìm hiểu chi tiết dưới đây.

1. Các Trường Hợp Trám Răng Bị Đau Nhức Thường Gặp?
Không phải ai cũng bị nhức sau khi hàn răng, nhưng thường xuất hiện ở hai tình huống chính:
1.1. Răng Vừa Trám Xong Bị Nhức, Ê Buốt
Trong 1 - 2 ngày đầu sau khi hàn răng, cảm giác ê buốt khi ăn uống hoặc tiếp xúc với nóng lạnh là bình thường. Nguyên nhân là do thuốc tê đã hết tác dụng, vật liệu trám chưa ổn định và răng nhạy cảm hơn bình thường.
Thông thường, cơn đau này sẽ giảm dần và biến mất sau vài ngày. Nhưng nếu sau 1 tuần vẫn còn nhức, đau khi nhai, hoặc răng trám bị cộm, bạn cần quay lại nha khoa để kiểm tra.
1.2. Răng Trám Lâu Ngày Bị Nhức
Nếu miếng trám đã tồn tại nhiều tháng hoặc nhiều năm nhưng bỗng dưng gây đau nhức, có thể do:
-
Miếng trám bị nứt, mẻ, bong khiến vi khuẩn xâm nhập.
-
Sâu răng tái phát dưới miếng trám.
-
Viêm tủy răng chưa được điều trị triệt để.
Lúc này, bạn cần thăm khám sớm để tránh biến chứng nặng hơn.
Xem Thêm: Trám Răng Có Cần Lấy Tủy Không?

2. Nguyên Nhân Khiến Răng Trám Bị Đau Nhức
2.1 Kỹ Thuật Trám Răng Không Chuẩn
-
Nếu bác sĩ không làm sạch triệt để lỗ sâu hoặc ổ viêm trước khi trám, vi khuẩn vẫn còn trong răng và tiếp tục gây hại. Ngoài ra, miếng trám đặt sai vị trí hoặc cao hơn khớp cắn cũng khiến răng bị đau khi nhai, thậm chí gây lệch khớp cắn.
2.2 Vật Liệu Trám Không Đảm Bảo
-
Vật liệu trám răng (composite, amalgam, inlay/onlay) ảnh hưởng trực tiếp đến hiệu quả. Nếu dùng chất liệu kém chất lượng, không rõ nguồn gốc, miếng trám dễ nứt vỡ, bong tróc hoặc gây dị ứng, đau nhức răng trám.
2.3 Chăm Sóc Răng Miệng Chưa Tốt
-
Sau khi hàn răng, nếu ăn nhai đồ cứng, dai, nhiều axit hoặc vệ sinh răng miệng sai cách, miếng trám dễ sứt mẻ, vi khuẩn tấn công gây sâu răng tái phát - dẫn đến đau nhức kéo dài.

3. Cách Xử Lý Khi Trám Răng Bị Đau
3.1. Răng Bị Nhức Ngay Sau Khi Trám
Bạn có thể giảm đau bằng cách:
-
Uống thuốc giảm đau, kháng viêm không steroid (theo chỉ định bác sĩ).
-
Hạn chế thức ăn nóng, lạnh, quá cay hoặc chua.
-
Dùng kem đánh răng cho răng nhạy cảm.
-
Vệ sinh nhẹ nhàng bằng bàn chải lông mềm, kết hợp chỉ nha khoa.
Nếu sau 3 - 5 ngày cơn đau không giảm, hãy tái khám ngay.
3.2. Răng Trám Lâu Ngày Mới Bị Đau
Tùy nguyên nhân, bác sĩ sẽ chỉ định:
-
Mài chỉnh miếng trám nếu bị cộm cao.
-
Trám lại bằng vật liệu tốt hơn nếu dị ứng hoặc miếng trám cũ hỏng.
-
Điều trị tủy (lấy tủy răng) nếu có viêm tủy.
-
Thay miếng trám mới khi trám cũ bị vỡ, sứt.
Xem Thêm: Trám Răng Thẩm Mỹ Giá Bao Nhiêu? Bảng Giá 2025 Tại TP. HCM
4. Cách Phòng Ngừa Đau Nhức Sau Khi Hàn Răng
Để tránh tình trạng “trám răng bị nhức”, bạn cần:
-
Chọn nha khoa uy tín, bác sĩ có kinh nghiệm để đảm bảo kỹ thuật chính xác.
-
Lựa chọn chất liệu trám phù hợp, chính hãng.
-
Vệ sinh răng miệng đúng cách: chải răng 2 lần/ngày, dùng chỉ nha khoa.
-
Tránh ăn đồ cứng, quá dai trong 1 - 2 ngày sau khi trám.
-
Khám răng định kỳ 6 tháng/lần để kịp thời phát hiện và xử lý vấn đề.
5. Trám Răng Ở Đâu Uy Tín? Tiêu Chí Và Địa Chỉ Gợi Ý
5.1. Tiêu chí chọn Nha khoa uy tín để trám răng
Để đảm bảo hiệu quả và an toàn, khi lựa chọn địa chỉ trám răng, bạn nên dựa trên các tiêu chí:
-
Có giấy phép hành nghề và chứng chỉ chuyên khoa Răng Hàm Mặt.
-
Bác sĩ có tay nghề, nhiều kinh nghiệm thực hiện các ca trám răng thành công.
-
Cơ sở vật chất hiện đại, phòng khám vô trùng, thiết bị nha khoa tiên tiến.
-
Vật liệu trám chính hãng, có bảo hành, độ bền cao, an toàn với sức khỏe.
-
Chi phí minh bạch, tư vấn rõ ràng trước khi điều trị.
-
Phản hồi tích cực từ khách hàng, có review thực tế, hình ảnh trước - sau.
5.2. Nha Khoa Kim Xuân - Địa chỉ trám răng uy tín tại TP.HCM
Nếu bạn đang tìm kiếm một địa chỉ trám răng uy tín, an toàn, giá hợp lý tại Bình Thạnh - TP.HCM, thì Nha Khoa Kim Xuân là lựa chọn đáng tin cậy.
-
Đội ngũ bác sĩ nhiều kinh nghiệm trong điều trị tổng quát, thẩm mỹ và implant.
-
Vật liệu trám răng nhập khẩu chính hãng, có thẻ bảo hành, thân thiện với mô răng.
-
Quy trình vô trùng chuẩn y khoa, đảm bảo an toàn tuyệt đối.
-
Ứng dụng công nghệ hiện đại như đèn chiếu đông cứng vật liệu trám, hệ thống giữ răng khô sạch và máy chụp CT 3D để chẩn đoán chính xác, giúp miếng trám bền chắc và an toàn hơn
-
Chi phí trám răng hợp lý, được công khai minh bạch và có nhiều chính sách hỗ trợ khách hàng.
Nha Khoa Kim Xuân không chỉ giúp bạn khắc phục răng sâu, răng mẻ, ê buốt bằng phương pháp trám răng thẩm mỹ, mà còn mang lại nụ cười tự tin, duy trì sức khỏe răng miệng lâu dài.
Xem Thêm: Trám Răng Sâu Giá Bao Nhiêu Tiền? Cập Nhập Bảng Giá Mới Nhất 2025

Câu Hỏi Thường Gặp?
1. Sau khi trám răng bị đau nhức bao lâu thì hết?
-
Thông thường, cảm giác ê buốt sau khi hàn răng sẽ giảm dần trong 1 - 3 ngày và biến mất sau khoảng 1 tuần. Nếu sau 5 - 7 ngày vẫn đau nhức, bạn nên đến nha khoa kiểm tra lại.
2. Vì sao răng đã trám lâu ngày bỗng bị nhức?
-
Nguyên nhân thường gặp là miếng trám bị nứt vỡ, sâu răng tái phát hoặc viêm tủy chưa được điều trị triệt để. Lúc này cần tái khám để xác định và xử lý kịp thời.
3. Trám răng bị nhức có nguy hiểm không?
-
Đa phần không nguy hiểm nếu xử lý sớm. Tuy nhiên, nếu để lâu, vi khuẩn có thể lan vào tủy răng gây viêm tủy, áp-xe hoặc mất răng.
4. Khi nào cần đi khám bác sĩ nếu răng trám bị đau?
-
Nếu cơn đau kéo dài hơn 1 tuần, đau khi nhai, răng trám bị cộm cao, hoặc xuất hiện sưng nướu, hôi miệng, bạn cần đến nha khoa ngay để được điều trị.
5. Làm sao phòng tránh đau nhức sau khi trám răng?
-
Chọn nha khoa uy tín, bác sĩ có kinh nghiệm.
-
Dùng vật liệu trám chất lượng, chính hãng.
-
Vệ sinh răng miệng đúng cách, hạn chế đồ ăn cứng, chua, quá nóng/lạnh.
-
Tái khám định kỳ để kiểm tra tình trạng miếng trám.
Kết Luận
Trám răng bị đau nhức có thể xảy ra ngay sau khi hàn hoặc xuất hiện trở lại sau nhiều năm, thường do kỹ thuật chưa chính xác, vật liệu trám không đảm bảo hoặc do viêm tủy - sâu răng tái phát. Tin vui là hầu hết các trường hợp đều có thể khắc phục hiệu quả nếu được phát hiện và xử lý sớm.
Nếu bạn đang gặp tình trạng đau nhức sau khi trám răng, hãy đến ngay Nha Khoa Kim Xuân - Bình Thạnh, TP.HCM. Đội ngũ bác sĩ giàu kinh nghiệm cùng vật liệu chính hãng, công nghệ hiện đại sẽ giúp bạn điều trị tận gốc, ngăn ngừa biến chứng và khôi phục nụ cười tự tin.
Đừng để cơn đau răng làm phiền bạn lâu hơn, hãy đặt lịch hẹn tại Nha Khoa Kim Xuân - Bình Thạnh để được bác sĩ hỗ trợ tận tình.
Xem Thêm Bài Viết Liên Quan
-
Răng Bị Sâu Lỗ To Có Trám Được Không? Giải Pháp Điều Trị Hiệu Quả
-
Lấy Tủy Răng Giá Bao Nhiêu? Bảng Giá Mới Nhất 2025 Tại Tp. HCM
LIÊN HỆ NGAY VỚI NHA KHOA KIM XUÂN ĐỂ ĐƯỢC TƯ VẤN MIỄN PHÍ
HOTLINE: 0899 922 668 ( Viber, Zalo, FaceTime )
ĐỊA CHỈ: 165 Ngô Tất Tố, Phường 22, Quận Bình Thạnh. TP HCM
ZALO: https://zalo.me/nhakhoakimxuan
WEBSITE: https://nhakhoakimxuan.com.vn
