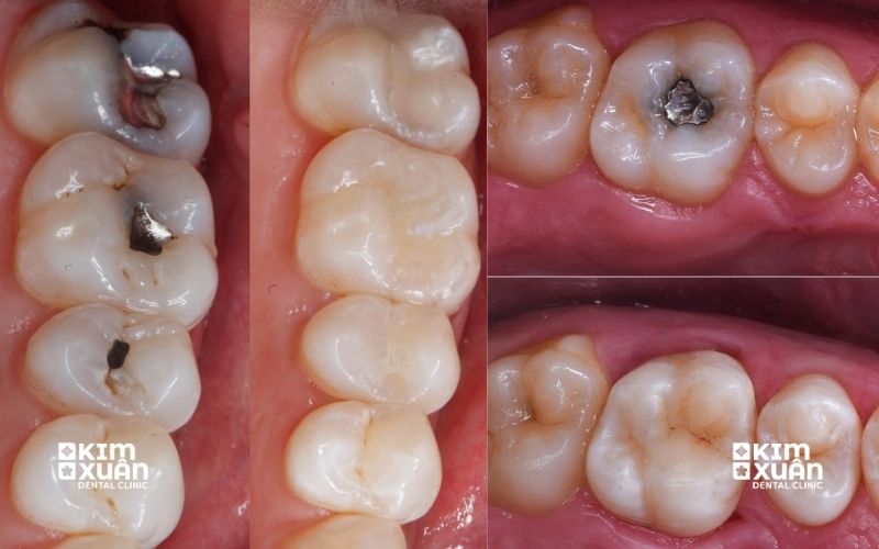
Trám Răng Có Cần Lấy Tủy Không? Khi Nào Bắt Buộc Phải Điều Trị Tủy Răng
Trám răng không phải lúc nào cũng cần lấy tủy. Nếu sâu răng nhẹ, tổn thương chỉ ở men hoặc ngà răng, bác sĩ sẽ làm sạch và trám răng, không cần điều trị tủy. Ngược lại, khi sâu răng nặng gây viêm hoặc hoại tử tủy, bắt buộc phải lấy tủy trước khi trám để tránh đau nhức và biến chứng.
Trên thực tế, nhiều người khó tự nhận biết mức độ sâu răng chỉ dựa vào cảm giác đau hay không đau. Có trường hợp răng chưa đau nhiều nhưng tủy đã bắt đầu viêm, trong khi cũng có răng chỉ ê buốt nhẹ và chưa cần điều trị tủy. Vì vậy, để xác định chính xác có cần lấy tủy hay không, bác sĩ cần thăm khám trực tiếp và chụp phim X-quang trước khi đưa ra chỉ định phù hợp.

1. Trám Răng Có Cần Lấy Tủy Răng Không?
Sau khi kiểm tra tổng quát răng miệng và chụp phim, bác sĩ sẽ đánh giá chính xác tình trạng mô răng và tủy răng để chỉ định phương án phù hợp.
1.1 Trường hợp trám răng không cần lấy tủy
Bạn không cần điều trị tủy nếu:
-
Răng bị nứt, mẻ nhẹ nhưng chưa sâu vào tủy
-
Sâu răng mức độ nhẹ, ổ sâu chỉ nằm ở men và ngà
-
Không có cảm giác đau nhức kéo dài hay ê buốt dữ dội
Ở những trường hợp này, bác sĩ sẽ làm sạch mô sâu và trám bít bằng vật liệu chuyên dụng, giúp ngăn vi khuẩn phát triển và bảo tồn răng thật tối đa.
1.2. Trường hợp bắt buộc phải lấy tủy trước khi trám
Điều trị tủy là cần thiết khi:
-
Sâu răng đã lan sâu gây viêm hoặc nhiễm trùng tủy
-
Răng đau nhức kéo dài, đau tự phát, đau khi ăn nhai
-
Có dấu hiệu sưng nướu, áp xe hoặc đổi màu răng
Nếu không điều trị kịp thời, tình trạng viêm tủy có thể tiến triển nặng hơn, gây hoại tử tủy, nhiễm trùng và tiêu xương hàm và ảnh hưởng nghiêm trọng đến sức khỏe răng miệng.
Xem Thêm: Bọc Răng Sứ Có Cần Lấy Tủy Răng Không?

2. Ưu Và Nhược Điểm Của Trám Răng Chữa Tủy
2.1. Ưu điểm
-
Giữ lại răng thật: Điều trị tủy đúng cách giúp loại bỏ ổ viêm, ngăn biến chứng và tránh phải nhổ răng.
-
Khôi phục chức năng ăn nhai: Sau khi lấy tủy và trám phục hình, răng có thể ăn nhai ổn định, không còn đau nhức.
-
Cải thiện thẩm mỹ: Kỹ thuật trám hiện đại giúp tái tạo hình thể răng tự nhiên, hài hòa với các răng còn lại.
2.2. Nhược điểm
Sau khi lấy tủy răng, răng sẽ không còn nguồn nuôi dưỡng, theo thời gian có thể trở nên giòn và dễ vỡ hơn. Vì vậy, với những răng chịu lực ăn nhai lớn, bác sĩ thường khuyến nghị bọc răng sứ sau điều trị tủy để bảo vệ răng lâu dài và tăng độ bền.
Xem Thêm: Giá Bọc Răng Sứ Giá Bao Nhiêu 2026 Tại TP. HCM
Xem Thêm: Lấy Tủy Bọc Răng Sứ Bao Nhiêu Tiền?

3. Trám Răng Lấy Tủy Giá Bao Nhiêu Tiền Năm 2026? Bảng Giá Tại Nha Khoa Kim Xuân
Chi phí trám răng lấy tủy thường bao gồm 2 phần chính: chi phí điều trị tủy răng và chi phí vật liệu trám phục hồi. Mức giá cụ thể sẽ phụ thuộc vào loại răng (răng sữa hay răng vĩnh viễn), số lượng ống tủy, mức độ tổn thương và phương pháp trám răng được chỉ định sau thăm khám.
3.1. Chi phí trám răng thẩm mỹ (VNĐ / 1 răng)
-
Trám GIC răng sữa: 200.000 VNĐ
-
Trám Composite răng sữa: 300.000 VNĐ
-
Trám Composite xoang I - VI (răng vĩnh viễn): 400.000 VNĐ
-
Trám Composite xoang II - III - V (răng vĩnh viễn): 500.000 VNĐ
-
Trám Composite xoang IV - V (răng vĩnh viễn): 600.000 VNĐ
-
Trám sứ Inlay/Onlay: 4.000.000 - 6.000.000 VNĐ
3.2. Chi phí điều trị tủy răng (VNĐ / 1 răng)
-
Điều trị tủy răng sữa: 250.000 - 500.000 VNĐ
-
Điều trị tủy răng cửa / răng nanh: 800.000 VNĐ
-
Điều trị tủy răng cối nhỏ: 1.000.000 VNĐ
-
Điều trị tủy răng cối lớn (hàm trên hoặc hàm dưới): 2.000.000 VNĐ
-
Điều trị tủy lại răng cửa - răng cối nhỏ: 1.000.000 - 1.500.000 VNĐ
-
Điều trị tủy lại răng cối lớn: 2.500.000 VNĐ
Như vậy, tổng chi phí trám răng lấy tủy sẽ được tính bằng chi phí điều trị tủy + chi phí trám phục hồi, và có thể dao động tùy từng trường hợp cụ thể. Để biết chính xác mức giá phù hợp, bác sĩ cần thăm khám trực tiếp và chụp phim X-quang trước khi đưa ra chỉ định điều trị.
Xem Thêm: Lấy Tủy Răng (Chữa Tủy) Giá Bao Nhiêu Năm 2026

4. Quy Trình Trám Răng Chữa Tủy Tại Nha Khoa Kim Xuân
Quy trình được thực hiện bài bản, đảm bảo vô trùng và an toàn:
Bước 1: Thăm khám và chụp phim
-
Bác sĩ kiểm tra tổng quát, chụp X-quang để xác định mức độ tổn thương và tình trạng tủy răng.
Bước 2: Điều trị tủy (nếu cần)
-
Gây tê nhẹ nhàng, loại bỏ mô tủy viêm, làm sạch và tạo hình ống tủy, sau đó trám bít ống tủy bằng vật liệu chuyên dụng.
Bước 3: So màu răng
-
Bác sĩ lựa chọn màu vật liệu trám phù hợp, đảm bảo tính thẩm mỹ tự nhiên.
Bước 4: Tiến hành trám răng
-
Thực hiện các bước tiêu chuẩn: xử lý bề mặt răng, tạo liên kết và trám composite quang trùng hợp.
Bước 5: Kiểm tra và chỉnh khớp cắn
-
Hoàn thiện miếng trám, điều chỉnh để đảm bảo ăn nhai thoải mái.

5. Trám Răng Diều Trị Tủy Ở Đâu Uy Tín Tại TP. HCM - Bình Thạnh
Nha khoa Kim Xuân là địa chỉ nha khoa uy tín được nhiều khách hàng tin chọn khi cần điều trị tủy kết hợp trám răng, nhờ đáp ứng đầy đủ các tiêu chí về chuyên môn, an toàn và hiệu quả lâu dài:
-
Đội ngũ bác sĩ giàu kinh nghiệm trong điều trị tủy và phục hình răng, thăm khám kỹ lưỡng và chỉ định đúng tình trạng, hạn chế xâm lấn không cần thiết.
-
Trang thiết bị hiện đại, hỗ trợ chẩn đoán chính xác tình trạng tủy răng thông qua chụp phim X-quang, giúp lên phác đồ điều trị phù hợp cho từng khách hàng.
-
Quy trình vô trùng nghiêm ngặt, mỗi khách hàng sử dụng bộ dụng cụ riêng, đảm bảo an toàn, tránh lây nhiễm chéo trong quá trình điều trị.
-
Tư vấn rõ ràng, minh bạch về tình trạng răng, phương án điều trị và chi phí trước khi thực hiện, giúp khách hàng yên tâm và chủ động lựa chọn.
-
Luôn ưu tiên bảo tồn răng thật, hướng đến hiệu quả bền vững, hạn chế biến chứng và đảm bảo sức khỏe răng miệng lâu dài.

6. Khi Nào Cần Phải Đi Khám Răng Ngay?
Bạn nên đến nha khoa sớm nếu xuất hiện một trong các dấu hiệu sau:
-
Đau răng kéo dài, đau âm ỉ hoặc đau dữ dội về đêm
-
Ê buốt nhiều khi ăn uống nóng - lạnh
-
Sưng nướu, có mủ hoặc hôi miệng kéo dài
-
Răng đổi màu bất thường, sẫm màu hơn so với các răng khác
Việc thăm khám và điều trị sớm không chỉ giúp giảm đau nhanh, mà còn tiết kiệm chi phí và bảo tồn răng thật tối đa, hạn chế nguy cơ phải lấy tủy hoặc nhổ răng về sau.
7. Câu Hỏi Thường Gặp?
7.1. Trám răng không lấy tủy có đau không?
-
Trám răng không lấy tủy thường không gây đau hoặc chỉ ê nhẹ trong quá trình thực hiện. Sau trám, cảm giác ê buốt (nếu có) sẽ giảm nhanh sau vài ngày.
7.2. Trám răng lấy tủy dùng được bao lâu?
-
Răng đã điều trị tủy và trám phục hình có thể sử dụng ổn định nhiều năm. Tuy nhiên, do răng không còn tủy nuôi dưỡng, bác sĩ thường khuyến nghị bọc sứ để tăng độ bền lâu dài.
7.3. Có bắt buộc bọc răng sứ sau khi lấy tủy không?
-
Không phải trường hợp nào cũng bắt buộc bọc sứ. Tuy nhiên, với răng cối chịu lực ăn nhai lớn, bọc sứ sau lấy tủy giúp hạn chế nứt vỡ và kéo dài tuổi thọ răng.
7.4. Trám răng lấy tủy có nguy hiểm không?
-
Nếu được thực hiện đúng kỹ thuật, trong điều kiện vô trùng và bác sĩ có kinh nghiệm, trám răng lấy tủy là phương pháp an toàn, giúp loại bỏ ổ viêm và bảo tồn răng thật hiệu
Kết Luận
Trám răng có cần lấy tủy hay không phụ thuộc vào tình trạng cụ thể của từng răng, không thể đánh giá chính xác chỉ dựa vào cảm giác đau hay không đau. Việc thăm khám trực tiếp và chụp phim X-quang là bước quan trọng giúp bác sĩ xác định mức độ tổn thương, từ đó đưa ra chỉ định điều trị phù hợp, hạn chế xâm lấn và ưu tiên bảo tồn răng thật tối đa.
Nếu bạn đang lo lắng về tình trạng răng của mình hoặc xuất hiện các dấu hiệu đau nhức, ê buốt kéo dài, hãy chủ động kiểm tra sớm để tránh biến chứng viêm tủy, hoại tử tủy và chi phí điều trị phát sinh về sau. Hãy liên hệ Nha khoa Kim Xuân để được thăm khám, tư vấn rõ ràng và lựa chọn phương án điều trị phù hợp, an toàn cho sức khỏe răng miệng lâu dài.
Nha Khoa Kim Xuân - Bình Thạnh TP. HCM
Địa Chỉ: 165 Ngô Tất Tố, Phường Thạnh Mỹ Tây, Tp Hồ Chí Minh
Hotline: 0899 922 668 (Viber, Zalo, FaceTime)
ZaLo: https://zalo.me/nhakhoakimxuan
WebSite: https://nhakhoakimxuan.com.vn