Bọc sứ răng cửa giá bao nhiêu là câu hỏi được rất nhiều người quan tâm khi có nhu cầu cải thiện thẩm mỹ nụ cười và chức năng ăn nhai. Trên thực tế, chi phí bọc 2 răng cửa hiện nay dao động khá rộng, khoảng 1.5 - 10 triệu đồng/ 1 răng, tùy thuộc vào loại răng sứ và nha khoa thực hiện. Trong đó, răng sứ kim loại có giá thấp hơn (khoảng 1,5 - 2 triệu đồng/ 1 răng), phù hợp với người muốn tiết kiệm chi phí nhưng hạn chế về thẩm mỹ lâu dài. Ngược lại, răng toàn sứ thường được ưu tiên cho răng cửa nhờ màu sắc tự nhiên, không đen viền nướu, độ bền cao, với mức giá khoảng 3,5 - 10 triệu đồng/ 1 răng.
Việc hiểu rõ sự khác biệt về chi phí, chất lượng và các yếu tố liên quan sẽ giúp bạn lựa chọn phương án bọc sứ phù hợp, đảm bảo nụ cười đẹp và an toàn theo thời gian.

1. Bọc Sứ Răng Cửa Giá Bao Nhiêu Tiền?
Bọc sứ răng cửa giá bao nhiêu tiền là thắc mắc phổ biến của nhiều người khi có nhu cầu cải thiện thẩm mỹ nụ cười. Hiện nay, chi phí bọc sứ răng cửa thường dao động khoảng 1.500.000 - 10.000.000 VNĐ/răng, tùy thuộc vào loại răng sứ lựa chọn và tình trạng răng miệng cụ thể của từng người.
Mức chi phí này thường được chia thành hai nhóm chính:
-
Răng sứ kim loại: khoảng 1.500.000 - 2.000.000 VNĐ/răng, có ưu điểm về chi phí thấp nhưng hạn chế về thẩm mỹ lâu dài.
-
Răng sứ toàn sứ: khoảng 3.500.000 - 10.000.000 VNĐ/răng, được đánh giá cao nhờ màu sắc tự nhiên, không đen viền nướu và độ bền tốt.
Sự chênh lệch về giá giữa các loại răng sứ phản ánh khác biệt về vật liệu chế tác, công nghệ sản xuất, độ bền cũng như hiệu quả thẩm mỹ sau khi phục hình.
Xem Thêm: Bảng Giá Bọc Răng Sứ Chi Tiết Tại Nha Khoa Kim Xuân
Xem Thêm: Trám Răng Cửa Bị Mẻ Giá Bao Nhiêu 2026

2. Bọc Sứ 2 Răng Cửa Giá Bao Nhiêu Tiền 2026?
Bọc sứ 2 răng cửa giá bao nhiêu tiền phụ thuộc vào loại răng sứ sử dụng và tình trạng răng miệng thực tế. Hiện nay, tổng chi phí phục hình 2 răng cửa thường dao động khoảng 3.000.000 - 20.000.000 VNĐ/2 răng.
Mức giá cụ thể có thể thay đổi dựa trên các yếu tố như:
-
Loại răng sứ lựa chọn (răng sứ kim loại hay răng toàn sứ)
-
Tình trạng răng cửa ban đầu: răng mẻ, răng lệch, răng đã lấy tủy hay chưa
-
Mức độ can thiệp cần thiết trước khi bọc sứ, chẳng hạn như điều trị sâu răng, viêm nướu hoặc chỉnh hình nhẹ
Do răng cửa nằm ở vị trí trung tâm của nụ cười và ảnh hưởng trực tiếp đến thẩm mỹ khuôn mặt, nhiều người thường ưu tiên lựa chọn răng toàn sứ để đạt được màu sắc tự nhiên, độ trong cao và sự hài hòa lâu dài.
Xem Thêm: Dán Sứ Veneer 2 Răng Cửa Thưa Giá Bao Nhiêu? Bảng Giá Mới 2026
Xem Thêm: Bọc Sứ Răng Hàm Bị Sâu Bao Nhiêu Tiền?
3. Những Yếu Tố Ảnh Hưởng Đến Giá Bọc Sứ Răng Cửa
Chi phí bọc sứ răng cửa không cố định cho tất cả mọi người mà có thể thay đổi tùy theo nhiều yếu tố khác nhau. Trong đó, các yếu tố ảnh hưởng trực tiếp đến giá bọc sứ răng cửa bao gồm:
-
Tình trạng răng thật: răng cửa bị mẻ lớn, sâu nặng, đã lấy tủy hoặc lệch nhiều thường cần điều trị và xử lý trước khi bọc sứ, từ đó làm tăng chi phí.
-
Loại răng sứ lựa chọn: mỗi dòng răng sứ có sự khác biệt về độ bền, tính thẩm mỹ, vật liệu và công nghệ chế tác, dẫn đến mức giá khác nhau.
-
Công nghệ chế tác răng sứ: các công nghệ hiện đại như CAD/CAM, Multilayer giúp mão sứ có độ chính xác cao, màu sắc tự nhiên và độ khít sát tốt hơn.
-
Tiêu chuẩn điều trị: quy trình vô trùng, kiểm soát khớp cắn và độ sát khít giữa răng sứ và cùi răng ảnh hưởng lớn đến chất lượng và tuổi thọ răng sứ.
-
Chính sách bảo hành và theo dõi sau điều trị: thời gian bảo hành, tái khám định kỳ và chăm sóc sau bọc sứ cũng là yếu tố được tính vào chi phí tổng thể.
Việc thăm khám trực tiếp sẽ giúp bác sĩ đánh giá chính xác tình trạng răng miệng, từ đó xây dựng phương án điều trị phù hợp và đưa ra mức chi phí bọc sứ răng cửa sát với thực tế nhất.
4. So Sánh Răng Sứ Kim Loại Và Răng Sứ Toàn Sứ Cho Răng Cửa
Khi bọc sứ răng cửa, việc lựa chọn răng sứ kim loại hay răng sứ toàn sứ ảnh hưởng trực tiếp đến thẩm mỹ, độ bền và hiệu quả sử dụng lâu dài. Dưới đây là bảng so sánh chi tiết giữa hai loại răng sứ phổ biến hiện nay:
|
Tiêu Chí |
Răng Sứ Kim Loại |
Răng Sứ Toàn Sứ |
|
Chi Phí |
Thấp |
Cao |
|
Thẩm Mỹ |
Dễ Lộ Viền Nướu, Sau Thời Gian Sử Dụng |
Màu Sắc Tự Nhiên, Giống Răng Thật |
|
Độ Bền |
Trung Bình |
Cao, Ổn Định Lâu Dài |
|
Tính An Toàn |
Có Thể Gây Đen Viền Nướu |
Lành Tính, Tương Thích Sinh Học Tốt |
Nhìn chung, răng sứ toàn sứ thường được đánh giá là lựa chọn phù hợp hơn cho răng cửa nhờ khả năng duy trì màu sắc tự nhiên, không ảnh hưởng đến nướu và mang lại tính thẩm mỹ cao trong thời gian dài, dù chi phí ban đầu cao hơn so với răng sứ kim loại.
Xem Thêm: Trồng Răng Sứ Titan Giá Bao Nhiêu? Có Tốt Không?

5. Quy Trình Bọc Sứ Răng Cửa Chuẩn Y Khoa
Một quy trình bọc sứ răng cửa tiêu chuẩn cần được thực hiện theo từng bước rõ ràng nhằm đảm bảo tính thẩm mỹ, độ bền và an toàn cho răng thật. Thông thường, quy trình này bao gồm 5 bước cơ bản:
Bước 1: Thăm khám và đánh giá răng miệng
-
Bác sĩ kiểm tra tổng quát tình trạng răng, nướu và khớp cắn. Trường hợp phát hiện viêm nướu, sâu răng, viêm tủy hoặc các vấn đề răng miệng khác sẽ cần điều trị ổn định trước khi tiến hành bọc sứ.
Bước 2: Gây tê và mài răng
-
Bệnh nhân được gây tê để hạn chế cảm giác ê buốt. Răng cửa sau đó được mài theo tỷ lệ phù hợp, đảm bảo bảo tồn răng thật tối đa và tạo trụ vững chắc cho mão sứ.
Bước 3: Lấy dấu răng và thiết kế răng sứ
-
Dấu răng được lấy chính xác và chuyển sang khâu thiết kế - chế tác răng sứ. Răng sứ được cá nhân hóa theo hình dáng, màu sắc và khớp cắn của từng người.
Bước 4: Gắn răng sứ cố định
-
Răng sứ được thử khớp cắn, kiểm tra độ sát khít, điều chỉnh hình thể và màu sắc trước khi gắn cố định lên răng.
Bước 5: Tái khám và theo dõi
-
Bác sĩ kiểm tra độ ổn định của răng sứ, hướng dẫn cách chăm sóc răng miệng sau bọc sứ và hẹn lịch tái khám định kỳ để duy trì hiệu quả lâu dài.

6. Những Trường Hợp Nên Bọc Sứ Răng Cửa
Bọc sứ răng cửa thường được chỉ định trong những trường hợp răng cửa gặp khuyết điểm về thẩm mỹ hoặc chức năng mà các phương pháp phục hồi thông thường không mang lại hiệu quả như mong muốn. Cụ thể gồm:
-
Răng cửa xỉn màu, ố vàng nặng không cải thiện bằng tẩy trắng răng
-
Răng cửa mẻ, vỡ lớn không thể trám
-
Răng cửa thưa, lệch nhẹ ảnh hưởng thẩm mỹ
-
Răng cửa hô nhẹ, mong muốn cải thiện nhanh
Trong các trường hợp này, bọc sứ răng cửa có thể giúp cải thiện hình dáng, màu sắc và sự hài hòa của nụ cười trong thời gian tương đối ngắn, tuy nhiên vẫn cần thăm khám để xác định phương án phù hợp.
Xem Thêm: Mất Răng Lâu Năm Có Trồng Răng Được Không?
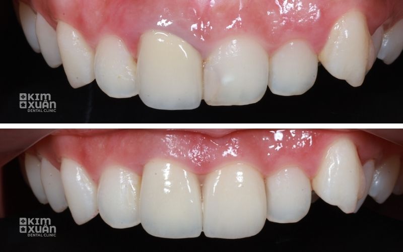
7. Bọc Sứ Răng Cửa Bị Mẻ Giá Bao Nhiêu?
Bọc răng cửa bị mẻ giá bao nhiêu phụ thuộc vào mức độ tổn thương của răng và phương án điều trị cụ thể. Hiện nay, chi phí bọc sứ cho răng cửa bị mẻ thường dao động khoảng 1.500.000 - 10.000.000 VNĐ/răng.
Mức giá này có thể thay đổi dựa trên các yếu tố như:
-
Mức độ mẻ của răng cửa: mẻ nhỏ, mẻ lớn hay vỡ nhiều mô răng thật
-
Tình trạng tủy răng: răng đã hoặc chưa cần lấy tủy
-
Loại răng sứ sử dụng: răng sứ kim loại hay răng toàn sứ
Trong trường hợp răng cửa bị mẻ kèm theo sâu răng hoặc viêm nướu, chi phí có thể tăng do cần điều trị ổn định tình trạng răng miệng trước khi tiến hành bọc sứ, nhằm đảm bảo độ bền và an toàn lâu dài.
Xem Thêm: Răng Sứ Zirconia Có Tốt Không? Ưu Nhược Điểm?
8. Lưu Ý Sau Khi Bọc Sứ Răng Cửa Để Duy Trì Độ Bền Lâu Dài
Sau khi bọc sứ răng cửa, việc chăm sóc đúng cách đóng vai trò quan trọng trong việc kéo dài tuổi thọ răng sứ và duy trì thẩm mỹ nụ cười. Để răng sứ sử dụng bền lâu, bạn nên lưu ý:
-
Đánh răng ít nhất 2 lần mỗi ngày, kết hợp sử dụng chỉ nha khoa hoặc tăm nước để làm sạch mảng bám ở kẽ răng và viền nướu.
-
Tránh cắn, nhai các vật cứng như đá lạnh, xương cứng, nắp chai… vì có thể làm sứ nứt hoặc mẻ.
-
Hạn chế đồ ăn và thức uống sậm màu (cà phê, trà, rượu vang, nước ngọt có màu) trong thời gian đầu sau khi bọc sứ để giữ màu răng ổn định.
-
Không nghiến răng hoặc chải răng quá mạnh, vì lực tác động lớn có thể ảnh hưởng đến độ bền của mão sứ và mô răng thật bên dưới.
-
Tái khám định kỳ theo hướng dẫn để kiểm tra độ khít sát của răng sứ, tình trạng nướu và khớp cắn, giúp phát hiện sớm các vấn đề nếu có.
Việc tuân thủ đúng các lưu ý trên sẽ giúp răng sứ răng cửa duy trì độ bền, màu sắc tự nhiên và chức năng ăn nhai ổn định trong thời gian dài.
Xem Thêm: Răng Bọc Sứ Bị Viêm Tủy Nguyên Nhân Và Dấu Hiệu Nhận Biết
Câu Hỏi Thường Gặp?
Bọc sứ răng cửa có bền không?
Răng sứ răng cửa, đặc biệt là răng toàn sứ, có độ bền cao và có thể sử dụng trung bình 15 - 20 năm, thậm chí lâu hơn nếu được bọc đúng kỹ thuật và chăm sóc răng miệng tốt. Tuổi thọ răng sứ còn phụ thuộc vào loại sứ sử dụng, tay nghề bác sĩ và thói quen sinh hoạt hằng ngày.
Bọc sứ răng cửa có đau không?
Quá trình bọc sứ răng cửa thường được gây tê cục bộ, vì vậy hầu như không gây đau trong quá trình thực hiện. Sau khi bọc sứ, một số trường hợp có thể cảm thấy ê nhẹ trong thời gian ngắn, nhưng cảm giác này sẽ nhanh chóng ổn định và không ảnh hưởng đến sinh hoạt hằng ngày.
Kết Luận
Bọc sứ răng cửa giá bao nhiêu phụ thuộc vào loại răng sứ, tình trạng răng miệng và tiêu chuẩn điều trị. Việc lựa chọn đúng phương án phục hình không chỉ giúp cải thiện thẩm mỹ nụ cười mà còn đảm bảo độ bền và an toàn lâu dài cho răng thật.
Để biết chi phí bọc sứ răng cửa chính xác và phù hợp với tình trạng răng của mình, bạn nên thăm khám trực tiếp tại Nha khoa Kim Xuân để được tư vấn kỹ lưỡng và xây dựng kế hoạch điều trị cá nhân hóa. Liên hệ ngay để đặt lịch thăm khám và nhận tư vấn chi tiết.
Nha Khoa Kim Xuân - Bình Thạnh TP. HCM
Địa Chỉ: 165 Ngô Tất Tố, Phường Thạnh Mỹ Tây, Tp Hồ Chí Minh
Hotline: 0899 922 668 (Viber, Zalo, FaceTime)
ZaLo: https://zalo.me/nhakhoakimxuan
WebSite: https//:nhakhoakimxuan.com.vn