Giá bọc sứ răng hàm bị sâu hiện nay thường dao động từ 1.500.000 - 10.000.000 VNĐ/răng, tùy thuộc vào loại răng sứ sử dụng, mức độ tổn thương của răng và nha khoa thực hiện. Bọc sứ răng hàm bị sâu là phương pháp phục hình nha khoa được chỉ định khi răng hàm bị sâu nặng, lỗ sâu lớn hoặc tổn thương đã ảnh hưởng đến tủy, trong trường hợp trám răng không còn đảm bảo độ bền lâu dài. Giải pháp này giúp bảo tồn răng thật, phục hồi chức năng ăn nhai và hạn chế nguy cơ sâu răng tái phát.

1. Bọc Sứ Răng Hàm Bị Sâu Giá Bao Nhiêu?
Chi phí bọc sứ răng hàm bị sâu hiện nay không có mức cố định, mà phụ thuộc vào nhiều yếu tố khác nhau, bao gồm:
-
Loại răng sứ sử dụng: răng sứ kim loại, răng sứ Titan, răng toàn sứ hoặc răng toàn sứ cao cấp
-
Tình trạng răng hàm bị sâu: sâu nhẹ, sâu nặng, răng đã viêm tủy hoặc chết tủy
-
Kỹ thuật phục hình và chính sách bảo hành tại từng nha khoa
Nhìn chung, mức giá bọc sứ răng hàm bị sâu năm 2026 dao động từ 1.500.000 - 10.000.000 VNĐ/răng.
Bảng giá bọc sứ răng hàm bị sâu nha khoa kim xuân (2026)
-
Răng kim loại thường giá 1.500.000 (VNĐ) / 1 Đơn Vị
-
Răng sứ Titan giá 2.000.000 (VNĐ) / 1 Đơn Vị
-
Răng sứ Zirconia giá từ 3.500.000 - 5.500.000 (VNĐ) / 1 Đơn Vị
-
Răng sứ Cercon HT giá 6.000.000 (VNĐ) / 1 Đơn Vị
-
Veneer Emax Press 6.000.000 (VNĐ) / 1 Đơn Vị
-
Răng sứ Lava Plus giá 8.000.000 - 10.000.000 (VNĐ) / 1 Đơn Vị
Xem Thêm: Bọc Sứ 2 Răng Cửa Giá Bao Nhiêu Tiền?

2. Bọc Sứ Răng Hàm Bị Sâu Là Gì?
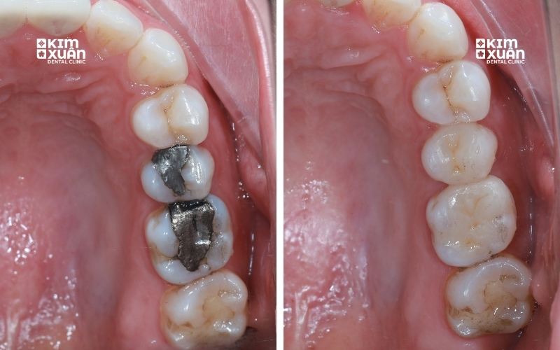
Bọc sứ răng hàm bị sâu là phương pháp phục hình nha khoa được áp dụng khi răng hàm bị sâu nặng, lỗ sâu lớn hoặc cấu trúc răng đã suy yếu, không còn phù hợp để trám răng thông thường.
Răng hàm bao gồm răng số 6, răng số 7 (và có thể cả răng khôn số 8), nằm ở vị trí trong cùng của cung hàm, đảm nhiệm chức năng nghiền nát thức ăn.
Khi răng hàm bị sâu nghiêm trọng, khả năng ăn nhai sẽ suy giảm rõ rệt, lâu dài có thể gây đau nhức, viêm tủy hoặc mất răng nếu không được điều trị kịp thời.
Trong quá trình bọc răng sứ, bác sĩ sẽ mài một phần mô răng thật còn khỏe mạnh, sau đó chụp mão răng sứ lên trên nhằm:
-
Bảo vệ răng khỏi vi khuẩn và tác nhân gây sâu răng
-
Phục hồi hình dáng và chức năng ăn nhai
-
Tăng độ bền chắc cho răng hàm đã bị tổn thương
Mão sứ có màu sắc và hình dáng tương tự răng thật, độ chịu lực cao và có thể sử dụng lâu dài nếu được thực hiện đúng kỹ thuật và chăm sóc răng miệng đúng cách.

3. Trường Hợp Nào Nên Bọc Sứ Răng Hàm Bị Sâu?
Không phải mọi trường hợp răng hàm bị sâu đều cần bọc sứ. Việc chỉ định bọc sứ hay không phụ thuộc chủ yếu vào mức độ tổn thương của răng, tình trạng tủy và khả năng bảo tồn răng thật.
3.1. Răng hàm sâu nhẹ
Trong trường hợp răng hàm mới bị sâu ở giai đoạn đầu, lỗ sâu nhỏ, chưa ảnh hưởng đến tủy, cấu trúc răng còn vững chắc, bác sĩ thường chỉ định trám răng để phục hồi. Ở giai đoạn này, chưa cần thiết phải bọc sứ.
3.2. Răng hàm sâu nặng
Khi răng hàm bị sâu nặng, lỗ sâu lớn, mô răng bị phá hủy nhiều, việc trám răng không còn đảm bảo độ bền lâu dài. Lúc này, bọc sứ răng hàm bị sâu là giải pháp phù hợp nhằm:
-
Bảo vệ phần răng thật còn lại
-
Phục hồi khả năng ăn nhai
-
Hạn chế nguy cơ sâu răng tái phát
Xem Thêm: Dấu Hiệu Nhận Biết Răng Sâu Đến Tủy?
3.3. Răng hàm sâu nặng, đã chết tủy
Răng hàm sau khi điều trị tủy thường trở nên giòn và dễ nứt vỡ do mất nguồn nuôi dưỡng. Việc bọc sứ trong trường hợp này giúp:
-
Gia cố răng yếu sau điều trị tủy
-
Giảm nguy cơ nứt vỡ khi ăn nhai
-
Kéo dài tuổi thọ của răng
Xem Thêm: Lấy Tủy Răng Giá Bao Nhiêu Tiền Tại TP. HCM
3.4. Răng hàm sâu vỡ lớn, không thể bảo tồn
Nếu răng hàm bị phá hủy quá nhiều, mất gần hết thân răng, chân răng lung lay hoặc không còn khả năng giữ mão sứ, bọc sứ không còn khả thi. Khi đó, bác sĩ sẽ chỉ định nhổ răng và phục hình bằng cấy ghép Implant hoặc cầu răng sứ để đảm bảo chức năng ăn nhai.
4. Quy Trình Bọc Răng Sứ Cho Răng Hàm Bị Sâu
Quy trình bọc răng sứ cho răng hàm bị sâu thường được thực hiện theo các bước cơ bản sau đây, nhằm đảm bảo răng được phục hình đúng kỹ thuật, an toàn và bền lâu.
Bước 1: Thăm khám và chẩn đoán
-
Bác sĩ tiến hành khám tổng quát răng miệng, kết hợp chụp X-quang để đánh giá mức độ sâu răng, tình trạng mô răng còn lại và xác định có cần điều trị tủy hay không trước khi bọc sứ.
Bước 2: Điều trị sâu răng hoặc điều trị tủy (nếu cần)
-
Bác sĩ sẽ loại bỏ hoàn toàn mô răng bị sâu. Trường hợp răng hàm đã viêm tủy hoặc chết tủy, cần điều trị tủy triệt để nhằm tránh nhiễm trùng trước khi tiến hành bọc sứ.
Bước 3: Mài cùi răng và lấy dấu răng
-
Răng được mài theo tỷ lệ an toàn, đảm bảo bảo tồn tối đa mô răng thật. Sau đó, bác sĩ lấy dấu răng (thường bằng công nghệ kỹ thuật số) để chế tác mão răng sứ có độ khít sát và chính xác cao.
Bước 4: Thử và gắn mão răng sứ
-
Mão răng sứ được thử khớp, kiểm tra độ sát khít, khớp cắn và khả năng ăn nhai. Khi mọi yếu tố đạt yêu cầu, bác sĩ sẽ gắn cố định mão sứ lên răng hàm.
Thông thường, quy trình bọc sứ răng hàm bị sâu hoàn tất trong khoảng 2 - 3 buổi hẹn, tùy vào tình trạng răng và việc có cần điều trị tủy hay không.
5. Bọc Sứ Răng Hàm Bị Sâu Nên Chọn Loại Răng Sứ Nào?
Khi bọc sứ răng hàm bị sâu, việc lựa chọn loại răng sứ phù hợp đóng vai trò quan trọng trong độ bền, khả năng ăn nhai và tuổi thọ của răng. Hiện nay, răng sứ thường được chia thành hai nhóm chính:
5.1. Răng sứ kim loại
-
Răng sứ kim loại có phần sườn bên trong làm từ kim loại, bên ngoài phủ sứ. Loại răng sứ này có chi phí thấp, khả năng chịu lực tương đối tốt, phù hợp với những trường hợp có ngân sách hạn chế. Tuy nhiên, tính thẩm mỹ không cao và có thể đen viền nướu theo thời gian.
5.2. Răng sứ toàn sứ
-
Răng sứ toàn sứ được chế tác hoàn toàn từ sứ, có màu sắc tự nhiên, không gây đen viền nướu, độ tương thích sinh học cao và khả năng chịu lực tốt. Loại răng sứ này đáp ứng tốt nhu cầu ăn nhai của răng hàm và có độ bền lâu dài nếu được thực hiện đúng kỹ thuật.
Với răng hàm - vị trí chịu lực ăn nhai lớn, răng sứ toàn sứ thường được khuyến khích lựa chọn nhờ độ bền cao, an toàn sinh học tốt và hạn chế biến chứng về lâu dài.
6. Bọc Răng Sứ Có Bị Sâu Răng Không?
Bản thân răng sứ không bị sâu, vì răng sứ không có cấu trúc sinh học như răng thật. Tuy nhiên, cùi răng thật bên trong mão sứ vẫn có nguy cơ bị sâu nếu quá trình bọc sứ hoặc chăm sóc răng miệng không đảm bảo.
Cụ thể, răng đã bọc sứ có thể bị sâu trong các trường hợp sau:
-
Mão răng sứ không ôm khít, tạo khe hở cho vi khuẩn xâm nhập
-
Sâu răng chưa được điều trị triệt để trước khi tiến hành bọc sứ
-
Vệ sinh răng miệng kém, mảng bám tích tụ lâu ngày
Do đó, tay nghề bác sĩ, kỹ thuật phục hình và chất lượng nha khoa đóng vai trò rất quan trọng trong việc hạn chế nguy cơ sâu răng sau khi bọc sứ. Bên cạnh đó, người bệnh cần duy trì thói quen chăm sóc răng miệng đúng cách và tái khám định kỳ để bảo vệ răng bọc sứ lâu dài.
Xem Thêm: Răng Bọc Sứ Bị Viêm Tủy? Dấu Hiệu Nhận Biết

7. Cách Bảo Vệ Răng Sứ Sau Khi Bọc
Để răng sứ sau khi bọc bền chắc và sử dụng lâu dài, người bệnh cần chú ý chăm sóc răng miệng đúng cách theo các khuyến nghị sau:
-
Đánh răng ít nhất 2 lần mỗi ngày bằng bàn chải lông mềm
-
Sử dụng chỉ nha khoa hoặc máy tăm nước để làm sạch kẽ răng, hạn chế mảng bám
-
Hạn chế nhai các thức ăn quá cứng, quá dai nhằm tránh nứt vỡ mão sứ
-
Khám răng định kỳ 6 tháng/lần để kiểm tra độ khít và tình trạng răng bọc sứ
Nếu được thực hiện đúng kỹ thuật và chăm sóc đúng cách, răng sứ có thể sử dụng từ 10 - 20 năm hoặc lâu hơn, đồng thời vẫn đảm bảo chức năng ăn nhai ổn định.
Câu Hỏi Thường Gặp?
Răng sâu nặng có bọc sứ được không?
-
Có. Trường hợp răng hàm bị sâu nặng vẫn có thể bọc sứ nếu chân răng còn chắc khỏe và răng có khả năng điều trị tủy. Bọc sứ giúp phục hồi chức năng ăn nhai và kéo dài tuổi thọ của răng.
Răng sứ có bị sâu không?
-
Răng sứ không bị sâu, do không có cấu trúc sinh học như răng thật. Tuy nhiên, cùi răng thật bên trong mão sứ vẫn có thể bị sâu nếu bọc sứ sai kỹ thuật hoặc chăm sóc răng miệng không đúng cách.
Kết Luận
Bọc sứ răng hàm bị sâu là giải pháp phù hợp trong các trường hợp răng sâu nặng, giúp bảo tồn răng thật, phục hồi chức năng ăn nhai và hạn chế biến chứng lâu dài. Để đạt hiệu quả điều trị tối ưu và tránh nguy cơ sâu răng tái phát, bạn nên lựa chọn nha khoa uy tín, thực hiện đúng quy trình và duy trì chăm sóc răng miệng khoa học.
Nếu bạn đang băn khoăn về tình trạng răng hàm bị sâu, hãy liên hệ Nha khoa Kim Xuân để được thăm khám, tư vấn và đánh giá chi phí bọc sứ phù hợp với từng tình trạng răng, giúp đảm bảo hiệu quả điều trị lâu dài và an toàn cho sức khỏe răng miệng.
Nha Khoa Kim Xuân - Bình Thạnh TP. HCM
Địa Chỉ: 165 Ngô Tất Tố, Phường Thạnh Mỹ Tây, Tp Hồ Chí Minh
Hotline: 0899 922 668 (Viber, Zalo, FaceTime)
ZaLo: https://zalo.me/nhakhoakimxuan
WebSite: https://nhakhoakimxuan.com.vn