Dấu Hiệu Răng Sứ Bị Hở: Nhận Biết Sớm Để Tránh Hỏng Răng Thật
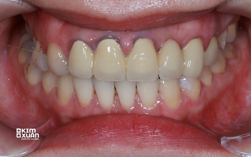
Dấu hiệu răng sứ bị hở thường gặp gồm tụt nướu, ê buốt, đen viền nướu và giắt thức ăn. Tình trạng này xảy ra khi mão sứ không còn ôm sát cùi răng và viền nướu, tạo khe hở cho vi khuẩn xâm nhập. Nếu không xử lý sớm, răng thật bên trong có thể bị viêm nhiễm, hư hại và ảnh hưởng lâu dài đến chức năng ăn nhai cũng như thẩm mỹ nụ cười.
Tình trạng răng sứ bị hở chân răng có thể xuất hiện sau một thời gian sử dụng nếu mão sứ không còn kín khít như ban đầu hoặc do kỹ thuật phục hình chưa chuẩn xác. Việc nhận biết sớm các dấu hiệu bất thường và kiểm tra kịp thời tại nha khoa sẽ giúp bảo vệ răng thật, duy trì độ bền và tính thẩm mỹ của răng sứ lâu dài.

1. Dấu Hiệu Răng Sứ Bị Hở Thường Gặp?
Răng sứ bị hở không phải lúc nào cũng gây đau ngay từ đầu. Tuy nhiên, người đã bọc răng sứ vẫn có thể nhận biết sớm thông qua một số thay đổi bất thường quanh răng phục hình. Đây là những dấu hiệu răng sứ bị hở chân răng thường gặp nhất cần lưu ý.
-
Viền nướu quanh răng sứ không còn ôm sát như trước
-
Nướu tụt, lộ chân răng hoặc cùi răng
-
Xuất hiện đen viền nướu quanh răng sứ
-
Cảm giác cộm, vướng khi ăn nhai
-
Răng ê buốt khi ăn đồ nóng hoặc lạnh
-
Thức ăn dễ giắt quanh răng sứ
-
Hơi thở có mùi dù vệ sinh kỹ
Nếu xuất hiện một hoặc nhiều dấu hiệu trên, rất có thể mão sứ đã không còn kín khít và đang hình thành khe hở tại chân răng.
1.1. Xuất hiện khe hở giữa răng sứ và nướu
-
Dấu hiệu răng sứ bị hở rõ nhất là thấy khoảng trống nhỏ giữa mão sứ và viền nướu. Khe hở này có thể nhìn thấy bằng mắt thường hoặc cảm nhận khi dùng lưỡi chạm vào chân răng.
-
Đây là vị trí thức ăn và vi khuẩn dễ tích tụ, lâu ngày gây viêm nướu và sâu răng thật bên trong.
1.2. Tụt nướu làm lộ cùi răng
-
Khi răng sứ không còn kín khít, vi khuẩn dễ xâm nhập gây viêm nướu. Tình trạng viêm kéo dài khiến nướu tụt dần, làm lộ phần cùi răng thật bên trong.
-
Hậu quả là răng trở nên nhạy cảm hơn, dễ ê buốt và giảm thẩm mỹ, đặc biệt ở vùng răng cửa.
1.3. Đen viền nướu quanh răng sứ
-
Ở các trường hợp sử dụng răng sứ kim loại, khi răng sứ bị hở lâu ngày, phần khung kim loại bên trong có thể oxy hóa, khiến viền nướu xuất hiện vệt sẫm màu.
-
Điều này làm nụ cười kém tự nhiên dù thân răng sứ vẫn còn nguyên vẹn.
1.4. Ê buốt và khó chịu khi ăn nhai
-
Răng thật sau khi mài bọc sứ vốn nhạy cảm hơn bình thường. Khi răng sứ bị hở, lớp bảo vệ không còn hoàn chỉnh, khiến cùi răng dễ bị kích thích.
-
Người bệnh thường cảm thấy ê buốt khi ăn đồ nóng, lạnh hoặc khi nhai đồ cứng.
1.5. Thức ăn dễ mắc kẹt, gây hôi miệng
-
Khoảng hở tại chân răng sứ tạo điều kiện cho vụn thức ăn tích tụ. Nếu không được làm sạch kỹ, vi khuẩn sẽ phát triển và gây hôi miệng, viêm lợi.
-
Đây là dấu hiệu răng sứ bị hở rất thường gặp nhưng dễ bị bỏ qua.
Xem Thêm: Cách Điều Trị Chảy Máu Chân Răng
Xem Thêm: Dấu Hiệu Nhận Biết Răng Sứ Bị Viêm Lợi?

2. Nguyên Nhân Khiến Răng Sứ Bị Hở Sau Một Thời Gian
Răng sứ bị hở chân răng sau khi bọc một thời gian thường liên quan đến kỹ thuật phục hình, chất liệu mão sứ và thói quen chăm sóc răng miệng. Khi mão sứ không còn ôm sát cùi răng như ban đầu, khe hở sẽ dần hình thành và gây nhiều vấn đề răng miệng.
Một số nguyên nhân phổ biến gồm:
-
Kỹ thuật mài răng và lấy dấu chưa chuẩn, khiến mão sứ không khít hoàn toàn với cùi răng
-
Mão sứ chế tác không sát răng thật, tạo khe hở tại viền nướu
-
Vật liệu gắn sứ không đảm bảo, làm giảm độ bền và độ kín khít theo thời gian
-
Chất liệu răng sứ kém tương thích sinh học, dễ gây viêm nướu và tụt nướu
-
Chải răng quá mạnh hoặc sai cách, dẫn đến tụt nướu quanh răng sứ
-
Không tái khám định kỳ sau khi bọc sứ, khiến các vấn đề nhỏ không được phát hiện sớm
Những yếu tố này khiến mão sứ dần mất độ ôm sát ban đầu, làm tăng nguy cơ hở chân răng sứ và viêm nhiễm quanh răng phục hình.
3. Răng Sứ Bị Hở Có Nguy Hiểm Không?
Răng sứ bị hở chân răng nếu không được xử lý sớm có thể dẫn đến nhiều biến chứng ảnh hưởng trực tiếp đến răng thật và nướu. Khi khe hở xuất hiện, vi khuẩn và thức ăn dễ tích tụ quanh cùi răng, lâu ngày gây tổn thương sâu bên trong.
Một số nguy cơ thường gặp gồm:
-
Viêm nướu, viêm nha chu quanh răng sứ
-
Sâu răng thật bên trong mão sứ
-
Hỏng cùi răng, buộc phải tháo và làm lại toàn bộ răng sứ
-
Hôi miệng kéo dài do tích tụ vi khuẩn
-
Đau nhức, ê buốt khi ăn nhai
-
Giảm thẩm mỹ nụ cười do lộ chân răng hoặc đen viền nướu
Trong nhiều trường hợp, việc phát hiện răng sứ bị hở quá muộn khiến răng thật không còn khả năng bảo tồn, phải điều trị tủy hoặc nhổ bỏ để phục hình lại từ đầu.
Xem Thêm: Bọc Răng Sứ Lâu Năm Bị Đau Nhức? Nguyên Nhân Và Cách Điều Trị

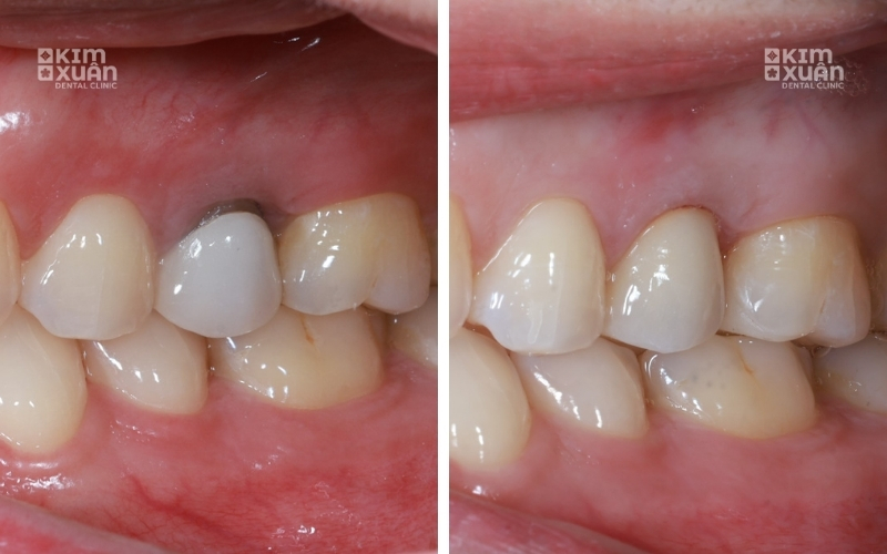
4. Răng Sứ Bị Hở Phải Làm Sao? Cách Xử Lý An Toàn
Khi phát hiện dấu hiệu răng sứ bị hở, người bọc răng sứ nên đến nha khoa kiểm tra sớm để xác định nguyên nhân và mức độ hở chân răng. Việc xử lý kịp thời giúp hạn chế tổn thương răng thật và tránh các biến chứng viêm nhiễm về sau.
Tùy theo tình trạng răng sứ bị hở chân răng, bác sĩ có thể chỉ định:
-
Tháo răng sứ cũ và làm lại mão sứ mới nếu mão sứ không còn khít sát
-
Thay răng sứ kim loại bằng răng toàn sứ để tăng độ tương thích sinh học và thẩm mỹ
-
Gắn lại mão sứ bằng vật liệu chuyên dụng nếu răng sứ vẫn còn sử dụng tốt
-
Điều trị viêm nướu hoặc viêm nha chu trước khi phục hình lại răng sứ
Việc xử lý răng sứ bị hở càng sớm càng giúp bảo tồn răng thật, giảm chi phí điều trị và duy trì hiệu quả phục hình lâu dài.
Xem Thêm: Bọc Răng Sứ Có Cần Lấy Tủy Răng Không?

5. Khi Nào Nên Kiểm Tra Lại Răng Sứ?
Sau khi bọc sứ, việc tái khám định kỳ giúp kiểm tra độ kín khít của mão sứ và phát hiện sớm dấu hiệu răng sứ bị hở chân răng. Nhiều trường hợp răng sứ hở diễn ra âm thầm, chỉ được phát hiện khi đã xuất hiện viêm nướu hoặc ê buốt kéo dài.
Người đã bọc răng sứ nên kiểm tra định kỳ mỗi 6 tháng để đảm bảo răng sứ vẫn ôm sát cùi răng và nướu khỏe mạnh. Ngoài ra, cần đến nha khoa sớm nếu xuất hiện các dấu hiệu sau:
-
Ê buốt kéo dài quanh răng sứ
-
Xuất hiện đen viền nướu hoặc đổi màu chân răng
-
Thức ăn giắt nhiều quanh răng sứ, khó vệ sinh
-
Nướu tụt hoặc sưng quanh răng sứ
-
Cảm giác cộm, vướng khi ăn nhai
Việc kiểm tra và xử lý sớm giúp duy trì độ bền răng sứ, bảo tồn răng thật bên trong và hạn chế chi phí điều trị về lâu dài.
Xem Thêm: Cách Chăm Sóc Răng Sứ Sau Khi Bọc?
Xem Thêm: Bọc Răng Sứ Bị Viêm Tủy Nguyên Nhân Và Cách Điều Trị?
6. Kiểm Tra Răng Sứ Bị Hở Tại Nha Khoa Uy Tín
Khi xuất hiện dấu hiệu răng sứ bị hở, việc kiểm tra sớm tại nha khoa uy tín là bước cần thiết để tránh các biến chứng ảnh hưởng đến răng thật và nướu. Bác sĩ sẽ đánh giá độ kín khít giữa mão sứ và cùi răng, kiểm tra viền nướu và xác định nguyên nhân răng sứ bị hở để đưa ra hướng xử lý phù hợp.
Đối với các trường hợp răng sứ bị hở chân răng, nếu không được kiểm tra kịp thời có thể dẫn đến viêm nướu, sâu răng thật bên trong hoặc phải làm lại toàn bộ mão sứ. Vì vậy, lựa chọn nha khoa có bác sĩ phục hình giàu kinh nghiệm và labo chế tác chính xác đóng vai trò quan trọng trong việc đảm bảo răng sứ ôm sát và bền lâu.
Tại TP.HCM, Nha khoa Kim Xuân là địa chỉ được nhiều khách hàng tin chọn trong kiểm tra và xử lý răng sứ bị hở. Quy trình thăm khám được thực hiện kỹ lưỡng từ đánh giá khớp cắn, độ sát viền nướu đến chất lượng mão sứ hiện tại. Nhờ chú trọng độ chính xác trong từng bước mài răng, lấy dấu và chế tác, răng sứ sau khi phục hình đạt độ kín khít cao, hạn chế tình trạng hở chân răng và viêm nướu về lâu dài.
Việc kiểm tra định kỳ tại nha khoa uy tín giúp phát hiện sớm răng sứ bị hở, duy trì độ bền, tính thẩm mỹ và chức năng ăn nhai ổn định theo thời gian.
Xem Thêm: Quy Trình Bọc Răng Sứ Chuẩn Y Khoa Tại Nha Khoa Kim Xuân
Xem Thêm: Bọc Răng Sứ Giá Bao Nhiêu Tiền? Bảng Giá Trọn Gói
Câu Hỏi Thường Gặp Về Răng Sứ Bị Hở ?
Răng sứ bị hở có cần làm lại không?
-
Trong đa số trường hợp, răng sứ bị hở nên được làm lại để đảm bảo độ kín khít giữa mão sứ và cùi răng. Việc phục hình lại đúng kỹ thuật giúp bảo vệ răng thật và hạn chế viêm nướu lâu dài.
Răng sứ bị hở để lâu có sao không?
-
Có. Răng sứ bị hở nếu để lâu có thể làm tăng nguy cơ viêm nướu, sâu răng thật bên trong và hư hại cùi răng. Việc kiểm tra sớm giúp xử lý đơn giản và giảm chi phí điều trị.
Răng toàn sứ có bị hở không?
-
Răng toàn sứ vẫn có thể bị hở nếu kỹ thuật phục hình không chuẩn xác hoặc chăm sóc răng miệng chưa đúng cách. Tuy nhiên, khi được thực hiện đúng kỹ thuật, răng toàn sứ có độ kín khít và độ bền cao hơn so với răng sứ kim loại.
Kết Luận
Dấu hiệu răng sứ bị hở thường xuất hiện âm thầm nhưng có thể dẫn đến nhiều biến chứng như viêm nướu, sâu răng thật và ảnh hưởng lâu dài đến chức năng ăn nhai nếu không được xử lý kịp thời. Việc nhận biết sớm răng sứ bị hở chân răng giúp hạn chế tổn thương và giảm chi phí điều trị về sau.
Thăm khám định kỳ tại nha khoa uy tín và phục hình đúng kỹ thuật là yếu tố quan trọng để duy trì độ kín khít của răng sứ, bảo vệ răng thật bên trong và giữ được tính thẩm mỹ tự nhiên lâu dài.
Nếu bạn đang gặp vấn đề về răng sứ như hở chân răng, ê buốt hoặc đen viền nướu, đừng chủ quan. Hãy liên hệ Nha khoa Kim Xuân để được tư vấn và thăm khám miễn phí, giúp kiểm tra chính xác tình trạng răng sứ và đưa ra hướng xử lý phù hợp, an toàn cho răng thật và sức khỏe răng miệng lâu dài.
Nha Khoa Kim Xuân - Bình Thạnh TP. HCM
Địa Chỉ: 165 Ngô Tất Tố, Phường Thạnh Mỹ Tây, Tp Hồ Chí Minh
Hotline: 0899 922 668 (Viber, Zalo, FaceTime)
ZaLo: https://zalo.me/nhakhoakimxuan
WebSite: https//:nhakhoakimxuan.com.vn