Răng Số 8 Bị Sâu Có Nên Nhổ Không? Khi Nào Bắt Buộc Phải Nhổ?
Răng số 8 (răng khôn) là chiếc răng mọc muộn nhất trên cung hàm, thường xuất hiện khi chúng ta đã trưởng thành. Do nằm ở vị trí sâu trong cùng và khó vệ sinh, răng số 8 rất dễ gặp các vấn đề như sâu răng, viêm lợi, mọc lệch hoặc mọc ngầm.
Vậy răng số 8 bị sâu có nên nhổ không? Nhổ răng khôn có nguy hiểm không và khi nào có thể giữ lại? Bài viết dưới đây sẽ giúp bạn hiểu rõ để đưa ra quyết định đúng đắn, an toàn cho sức khỏe răng miệng lâu dài.

1. Răng Số 8 Là Gì? Đặc Điểm Và Vị Trí Trên Cung Hàm
Răng số 8 hay còn gọi là răng khôn, là chiếc răng mọc cuối cùng trên mỗi cung hàm. Một người trưởng thành có thể mọc tối đa 4 răng số 8, tuy nhiên cũng có nhiều trường hợp không mọc đủ hoặc không mọc răng khôn.
Đặc điểm của răng số 8:
-
Mọc muộn, thường trong độ tuổi 17 - 25, khi xương hàm đã phát triển hoàn chỉnh
-
Vị trí nằm sâu trong cùng, khó quan sát và vệ sinh
-
Dễ mọc lệch, mọc ngầm hoặc bị lợi trùm
-
Không giữ vai trò quan trọng trong chức năng ăn nhai
Chính vì những đặc điểm này, răng số 8 thường là chiếc răng dễ gặp biến chứng nhất nếu không được theo dõi và xử lý kịp thời.

2. Vì Sao Răng Số 8 Rất Dễ Bị Sâu?
Sâu răng số 8 là tình trạng khá phổ biến và thường tiến triển nhanh do nhiều nguyên nhân kết hợp:
-
Vị trí khó vệ sinh: Bàn chải và chỉ nha khoa khó tiếp cận, mảng bám dễ tích tụ
-
Răng mọc lệch hoặc mọc ngầm: Tạo khe giắt thức ăn giữa răng - lợi
-
Vi khuẩn lây lan từ răng số 7: Đặc biệt khi răng số 8 nghiêng sát răng bên cạnh
-
Chế độ ăn nhiều đường, tinh bột: Làm tăng axit phá hủy men răng
-
Vệ sinh răng miệng chưa đúng cách: Ít dùng chỉ nha khoa hoặc tăm nước
Nếu không được phát hiện và điều trị sớm, sâu răng số 8 có thể lan nhanh vào tủy, gây đau nhức và viêm nhiễm nghiêm trọng.
Xem Thêm: Răng Khôn Mọc Ngầm: Dấu Hiệu Nhận Biết
Xem Thêm: Dấu Hiệu Viêm Tủy Răng
3. Sâu Răng Số 8 Có Nguy Hiểm Không?
Mặc dù không đảm nhiệm chức năng nhai chính, nhưng khi bị sâu, răng số 8 vẫn có thể gây ra nhiều ảnh hưởng tiêu cực đến sức khỏe răng miệng và toàn thân:
-
Đau nhức âm ỉ hoặc dữ dội vùng hàm
-
Sưng nề lợi, má, có thể kèm sốt
-
Viêm tủy, viêm quanh chóp, viêm xương hàm
-
Lây lan sâu răng sang răng số 7 kế cận
-
Hơi thở có mùi, ảnh hưởng sinh hoạt và giao tiếp
-
Nguy cơ hình thành ổ nhiễm trùng nếu kéo dài
Việc chủ quan với răng số 8 bị sâu có thể khiến điều trị sau này phức tạp và tốn kém hơn rất nhiều.

4. Răng Số 8 Bị Sâu Có Nên Nhổ Không?
Theo khuyến cáo của bác sĩ chuyên khoa Răng Hàm Mặt, đa số trường hợp răng số 8 bị sâu nên được nhổ bỏ, đặc biệt khi răng không còn giá trị sử dụng và tiềm ẩn nguy cơ biến chứng.
4.1. Trường hợp nên nhổ răng số 8 bị sâu
-
Răng mọc lệch, mọc ngầm hoặc bị lợi trùm
-
Sâu răng nặng, đã viêm tủy hoặc viêm quanh chóp
-
Đau nhức tái phát nhiều lần
-
Ảnh hưởng đến răng số 7 bên cạnh
-
Khó vệ sinh, nguy cơ tái sâu cao
4.2. Trường hợp có thể cân nhắc giữ lại
-
Răng mọc thẳng, đủ chỗ trên cung hàm
-
Mức độ sâu nhẹ
-
Không gây đau nhức hay viêm nhiễm
-
Có khả năng vệ sinh và theo dõi lâu dài
Trong những trường hợp này, bác sĩ có thể chỉ định trám răng hoặc điều trị tủy, kết hợp tái khám định kỳ.
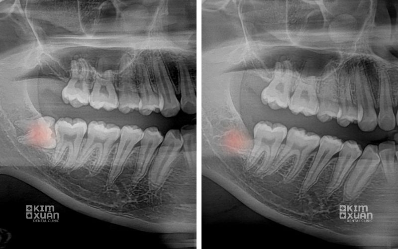
Không nên tự ý quyết định nhổ hay giữ răng số 8. Việc này cần được đánh giá dựa trên phim X-quang và thăm khám trực tiếp.

5. Nhổ Răng Số 8 Có Nguy Hiểm Không?
Với sự hỗ trợ của công nghệ nha khoa hiện đại, nhổ răng số 8 ngày nay được đánh giá là an toàn nếu thực hiện tại cơ sở uy tín, bởi bác sĩ có chuyên môn.
Tuy nhiên, vẫn có thể gặp một số rủi ro như:
-
Sưng đau sau nhổ
-
Chảy máu kéo dài nếu chăm sóc không đúng
-
Tê môi, tê lưỡi (thường tạm thời)
-
Khó há miệng trong vài ngày đầu
Phần lớn biến chứng đều có thể phòng tránh và kiểm soát tốt nếu nhổ răng đúng chỉ định và tuân thủ hướng dẫn chăm sóc.
Xem Thêm: Nhổ Răng Khôn Có Đau Không?
Xem Thêm: Nhổ Răng Sâu Có Đau Không? Khi Nào Nên Nhổ?
6. Nhổ Răng Khôn Bị Sâu Giá Bao Nhiêu Tiền?
Chi phí nhổ răng khôn bị sâu không có mức giá cố định, mà phụ thuộc vào tình trạng mọc của răng số 8, mức độ sâu răng và độ phức tạp của ca tiểu phẫu. Trên thực tế, nhiều răng khôn bị sâu thường đi kèm tình trạng mọc lệch, mọc ngầm hoặc viêm nhiễm quanh răng, khiến việc nhổ trở nên khó hơn, thời gian thực hiện kéo dài và chi phí cũng tăng theo.
Bảng giá nhổ răng khôn bị sâu tại Nha Khoa Kim Xuân
-
Răng khôn mọc thẳng, sâu nhẹ: từ 1.000.000 - 1.500.000 VNĐ/răng
-
Răng khôn mọc lệch, mọc kẹt, sâu nặng: từ 2.000.000 - 3.000.000 VNĐ/răng
-
Răng khôn mọc ngầm, viêm nhiễm phức tạp: từ 3.000.000 VNĐ/răng trở lên
Để xác định chính xác chi phí nhổ răng khôn bị sâu, bác sĩ cần thăm khám trực tiếp và chụp phim X-quang nhằm đánh giá vị trí răng, mức độ sâu, tình trạng viêm nhiễm cũng như ảnh hưởng của răng số 8 đến các răng lân cận.
Xem Thêm: Nhổ Răng Sâu Giá Bao Nhiêu 2026
Xem Thêm: Nhổ Răng Cấm Bị Sâu Giá Bao Nhiêu?

7. Cách Chăm Sóc Răng Sau Khi Nhổ Răng Số 8
Sau khi nhổ răng khôn, bạn cần lưu ý:
-
Cắn gạc cầm máu đúng thời gian
-
Chườm lạnh ngoài má 15 - 20 phút/lần trong 24 giờ đầu
-
Uống thuốc đúng chỉ định của bác sĩ
-
Tránh khạc nhổ mạnh, không chạm tay vào vết nhổ
-
Ăn thức ăn mềm, nguội
-
Không hút thuốc, không uống rượu bia ít nhất 24 - 48 giờ
-
Tái khám đúng lịch hẹn
Nếu xuất hiện các dấu hiệu bất thường như sưng đau dữ dội, sốt cao, chảy máu không cầm, hãy liên hệ ngay với nha khoa.
Câu Hỏi Thường Gặp Về Răng Số 8 Bị Sâu?
Răng số 8 bị sâu có nên nhổ không?
-
Trong đa số trường hợp, răng số 8 bị sâu được khuyến cáo nên nhổ, đặc biệt khi răng mọc lệch, mọc ngầm hoặc gây viêm nhiễm tái phát. Việc nhổ sớm giúp ngăn ngừa biến chứng và bảo vệ các răng kế cận.
Nhổ răng số 8 có đau không?
-
Quá trình nhổ răng số 8 được thực hiện dưới gây tê tại chỗ, nên hầu như không gây đau. Sau nhổ, cảm giác ê hoặc đau nhẹ có thể xuất hiện nhưng kiểm soát tốt bằng thuốc theo chỉ định của bác sĩ.
Sau khi nhổ răng số 8 bao lâu thì hồi phục?
-
Thông thường, mô lợi sẽ lành cơ bản sau khoảng 7 - 10 ngày. Thời gian hồi phục có thể nhanh hoặc chậm hơn tùy cơ địa và mức độ phức tạp của răng khôn.
Nhổ răng số 8 có cần trồng lại không?
-
Không cần. Răng số 8 không đảm nhiệm chức năng ăn nhai chính, nên sau khi nhổ không cần trồng răng thay thế.
Có thể tự nhổ răng số 8 tại nhà không?
-
Tuyệt đối không. Việc tự nhổ răng có thể gây chảy máu, nhiễm trùng nặng và nhiều biến chứng nguy hiểm. Nhổ răng số 8 cần được thực hiện bởi bác sĩ nha khoa có chuyên môn.
Kết Luận
Răng số 8 bị sâu không nên xem nhẹ. Trong đa số trường hợp, việc nhổ răng khôn là giải pháp an toàn và hiệu quả giúp loại bỏ ổ viêm nhiễm, ngăn ngừa biến chứng và bảo vệ các răng kế cận lâu dài. Tuy nhiên, mỗi tình trạng răng số 8 có mức độ khác nhau, vì vậy việc thăm khám và đánh giá trực tiếp bởi bác sĩ nha khoa là cần thiết để đưa ra hướng xử lý phù hợp nhất.
Nếu bạn đang gặp tình trạng răng số 8 bị sâu, đau nhức, sưng viêm hoặc khó chịu khi ăn nhai, hãy đến Nha khoa Kim Xuân để được:
-
Thăm khám trực tiếp bởi bác sĩ chuyên môn
-
Chụp phim X-quang đánh giá chính xác vị trí và mức độ răng khôn
-
Tư vấn phương án điều trị phù hợp, an toàn và rõ ràng chi phí
Đặt lịch khám ngay hôm nay để được kiểm tra răng số 8 sớm, giúp phòng tránh biến chứng và bảo vệ sức khỏe răng miệng lâu dài.
Nha Khoa Kim Xuân - Bình Thạnh TP. HCM
Địa Chỉ: 165 Ngô Tất Tố, Phường Thạnh Mỹ Tây, Tp Hồ Chí Minh
Hotline: 0899 922 668 (Viber, Zalo, FaceTime)
ZaLo: https://zalo.me/nhakhoakimxuan
WebSite: https://nhakhoakimxuan.com.vn