1. Răng Chết Tủy Là Gì?
Bên trong mỗi chiếc răng đều có một “trái tim” gọi là tủy răng nơi chứa mạch máu và dây thần kinh giúp nuôi dưỡng và duy trì sự sống của răng. Khi tủy bị viêm nhiễm, hoại tử hoặc tổn thương nặng không thể phục hồi, răng sẽ rơi vào trạng thái “chết tủy” nghĩa là răng không còn nhận được máu nuôi, mất cảm giác và dần yếu đi.
Ở giai đoạn này, người bệnh thường không còn cảm thấy đau, nhưng đó lại là dấu hiệu nguy hiểm vì tủy đã ngừng hoạt động. Nếu không điều trị sớm, vi khuẩn có thể lan rộng gây viêm quanh chóp, áp xe, mất răng và ảnh hưởng đến các răng kế cận.
Xem Thêm: Viêm Tủy Răng Là Gì? Triệu Chứng Nhận Biết

2. Dấu Hiệu Nhận Biết Răng Chết Tủy
Răng chết tủy không dễ nhận ra bằng cảm giác, nhưng bạn có thể phát hiện qua các biểu hiện sau:
-
Răng đổi màu: ngả vàng, xám hoặc đen do tủy bị phân hủy.
-
Mất cảm giác: không còn ê buốt khi ăn đồ nóng, lạnh hay ngọt.
-
Đau âm ỉ hoặc đau khi nhai/gõ vào răng.
-
Sưng nướu quanh răng: có thể xuất hiện mủ hoặc nổi cục nhỏ như mụn.
-
Hơi thở hôi kéo dài, khó chịu dù vệ sinh sạch sẽ.
-
Răng lung lay nhẹ hoặc cảm giác “nặng răng”.
Nếu xuất hiện từ 2 dấu hiệu trở lên, hãy đến nha khoa kiểm tra sớm để xác định chính xác tình trạng tủy.
Xem Thêm: Dấu Hiệu Nhận Biết Viêm Tủy Răng? Cách Điều Trị

3. Quá Trình Răng Chết Tủy Diễn Ra Như Thế Nào?
3.1 Giai đoạn viêm tủy có hồi phục
-
Tủy bị kích thích nhẹ, người bệnh thấy ê buốt khi ăn lạnh hoặc ngọt. Cơn đau thường thoáng qua và biến mất nhanh. Nếu điều trị sớm, tủy vẫn có thể hồi phục.
3.2 Giai đoạn viêm tủy không hồi phục
-
Cơn đau kéo dài hơn, nhất là về đêm hoặc khi gặp đồ nóng. Vi khuẩn bắt đầu xâm nhập sâu vào ống tủy, gây viêm nặng và tổn thương vĩnh viễn.
3.3 Giai đoạn hoại tử và chết tủy
-
Tủy bị phá hủy hoàn toàn. Răng không còn cảm giác, nhưng vùng chóp răng có thể bị viêm, sưng, áp xe. Đây là giai đoạn cần điều trị nội nha hoặc nhổ răng ngay để tránh biến chứng.

4. Nguyên Nhân Khiến Răng Chết Tủy
4.1 Sâu răng lan đến tủy
-
Khi sâu răng không được trám kịp thời, vi khuẩn xuyên qua men và ngà, tấn công trực tiếp vào buồng tủy, gây viêm và hoại tử.
4.2 Viêm nha chu và nhiễm trùng nướu
-
Viêm nướu - viêm nha chu kéo dài có thể khiến vi khuẩn lan ngược vào ống tủy, làm chết tủy dần theo thời gian.
4.3 Tác động mạnh hoặc chấn thương
-
Tai nạn, va đập, hoặc thói quen nghiến răng kéo dài có thể làm vỡ mạch máu trong tủy, khiến răng mất nuôi dưỡng và chết tủy.

5. Cách Điều Trị Răng Chết Tủy
Tùy mức độ tổn thương, bác sĩ sẽ chỉ định phương pháp điều trị phù hợp:
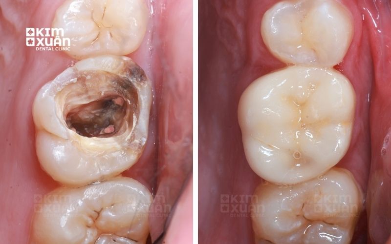
5.1 Điều trị nội nha (lấy tủy và trám bít ống tủy)
-
Áp dụng khi thân răng còn chắc.
-
Bác sĩ sẽ làm sạch ống tủy, loại bỏ mô tủy hoại tử, sau đó trám bít bằng vật liệu chuyên dụng để ngăn tái nhiễm.
-
Cuối cùng, răng thường được bọc sứ bảo vệ nhằm đảm bảo thẩm mỹ và chức năng ăn nhai.
Ưu điểm: Giữ lại răng thật, ăn nhai tự nhiên, không cần phẫu thuật.
Hạn chế: Răng yếu hơn, cần bọc sứ để bảo vệ lâu dài.
Xem Thêm: Điều Trị Tủy Răng Giá Bao Nhiêu? Bảng Giá Chi Tiết

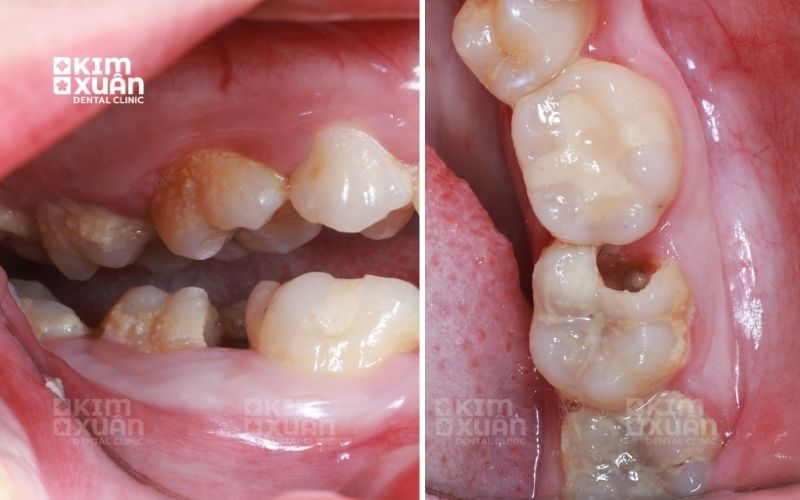
5.2 Nhổ răng chết tủy và phục hình răng mới
Khi răng hư hỏng nặng, không thể bảo tồn, bác sĩ sẽ chỉ định nhổ bỏ răng chết tủy. Sau đó, có thể phục hình bằng Implant hoặc cầu răng sứ để khôi phục chức năng và thẩm mỹ.
Trồng răng implant giúp thay thế răng đã mất, ngăn tiêu xương hàm. Nên thực hiện tại nha khoa uy tín với bác sĩ chuyên khoa nội nha - phục hình.
Xem Thêm: Chi Phí Làm Cầu Răng Sứ Giá Bao Nhiêu
Xem Thêm: Trồng Răng Implant Giá Bao Nhiêu Tiền?
Xem Thêm: Nhổ Răng Bị Sâu Giá Bao Nhiêu?
6. Cách Chăm Sóc Và Ngăn Ngừa Răng Chết Tủy
Giữ tủy răng khỏe mạnh chính là giữ “trái tim” của răng. Bạn nên:
-
Đánh răng ít nhất 2 lần/ngày bằng bàn chải lông mềm và kem có fluoride.
-
Dùng chỉ nha khoa hoặc tăm nước để làm sạch kẽ răng.
-
Hạn chế đồ ăn ngọt, quá lạnh hoặc quá cứng.
-
Khám răng định kỳ 6 tháng/lần để phát hiện sớm bệnh lý răng miệng.
-
Khi răng đau, đổi màu hoặc có mùi hôi - đi khám ngay, đừng tự dùng thuốc giảm đau kéo dài.
7. Câu Hỏi Thường Gặp?
7.1 Răng chết tủy có nguy hiểm không?
-
Có. Răng chết tủy là ổ vi khuẩn tiềm ẩn. Nếu không điều trị, vi khuẩn lan sang nướu và xương ổ răng, gây viêm quanh chóp, áp xe hoặc tiêu xương.
7.2 Răng chết tủy có nên nhổ không?
-
Nếu răng còn đủ mô cứng và chân răng chắc, bác sĩ sẽ ưu tiên giữ răng thật bằng điều trị nội nha.
-
Chỉ nhổ khi răng vỡ lớn, nhiễm trùng lan rộng, không thể phục hồi.
7.3 Răng chết tủy tồn tại được bao lâu?
-
Răng sau khi chết tủy nhưng được điều trị đúng cách có thể tồn tại 10 - 20 năm hoặc hơn. Tuy nhiên, răng này yếu hơn, nên bọc sứ và chăm sóc kỹ để kéo dài tuổi thọ.
7.4 Răng lấy tủy có bị đổi màu không?
-
Có thể. Do mất nguồn nuôi dưỡng, răng có thể ngả màu theo thời gian. Giải pháp là tẩy trắng răng hoặc bọc sứ thẩm mỹ.
7.5 Răng chết tủy có gây hôi miệng không?
-
Có. Khi mô tủy hoại tử, vi khuẩn phân hủy tạo ra mùi hôi đặc trưng. Sau điều trị nội nha hoặc nhổ răng, tình trạng này sẽ hết.
Kết Luận
Răng chết tủy không còn đau không có nghĩa là đã khỏi. Trên thực tế, đây là giai đoạn răng đang “im lặng” trước khi xảy ra các biến chứng nghiêm trọng như viêm quanh chóp, áp xe hoặc mất răng vĩnh viễn. Nếu bạn nhận thấy răng đổi màu, đau khi nhai, sưng nướu hoặc hơi thở có mùi hôi. Hãy đến Nha khoa Kim Xuân để được kiểm tra và điều trị răng chết tủy đúng cách.
Tại đây, quy trình điều trị nội nha hiện đại, kết hợp thiết bị vô trùng và công nghệ trám bít ống tủy tiên tiến, giúp loại bỏ vi khuẩn triệt để, giảm đau tối đa và bảo tồn răng thật hiệu quả.
Nha khoa Kim Xuân - Tận tâm chăm sóc sức khỏe răng miệng, giữ gìn nụ cười bền đẹp cho bạn.
Đặt lịch hẹn ngay hôm nay để được tư vấn và điều trị răng chết tủy an toàn, nhanh chóng và không đau.
LIÊN HỆ NGAY VỚI NHA KHOA KIM XUÂN ĐỂ ĐƯỢC TƯ VẤN MIỄN PHÍ
HOTLINE: 0899 922 668 ( Viber, Zalo, FaceTime )
ĐỊA CHỈ: 165 Ngô Tất Tố, Phường 22, Quận Bình Thạnh. TP HCM
ZALO: https://zalo.me/nhakhoakimxuan
WEBSITE: https://nhakhoakimxuan.com.vn