Chi Phí Chữa Răng Sâu Bao Nhiêu Tiền? Bảng Giá Mới Tháng 1/2026
Chi phí chữa răng sâu năm 2026 dao động từ 200.000 - 600.000 VNĐ/răng đối với các trường hợp sâu nhẹ đến trung bình. Trường hợp răng sâu nặng, vi khuẩn đã xâm nhập vào tủy hoặc răng bị phá hủy nhiều mô, chi phí điều trị có thể từ 1.000.000 VNĐ/răng trở lên, tùy phương pháp can thiệp và tình trạng răng thực tế.
Trên thực tế, không có một mức giá cố định cho mọi trường hợp sâu răng. Chi phí chữa răng sâu phụ thuộc vào mức độ tổn thương răng, phương pháp điều trị, vật liệu sử dụng, số lượng răng cần điều trị và tiêu chuẩn chuyên môn của nha khoa thực hiện. Việc phát hiện và điều trị sớm giúp bảo tồn răng thật tối đa, giảm chi phí và hạn chế biến chứng về sau.

1. Sâu Răng Là Gì?
Sâu răng là tình trạng mô răng bị phá hủy do vi khuẩn trong khoang miệng. Vi khuẩn sử dụng đường từ thức ăn thừa để tạo axit, làm mòn men răng, sau đó lan dần vào ngà răng và tủy răng nếu không được điều trị kịp thời.
Dấu hiệu thường gặp của sâu răng:
-
Xuất hiện đốm trắng, nâu hoặc đen trên răng
-
Có lỗ sâu nhỏ trên bề mặt răng
-
Ê buốt hoặc đau khi ăn đồ nóng, lạnh, ngọt
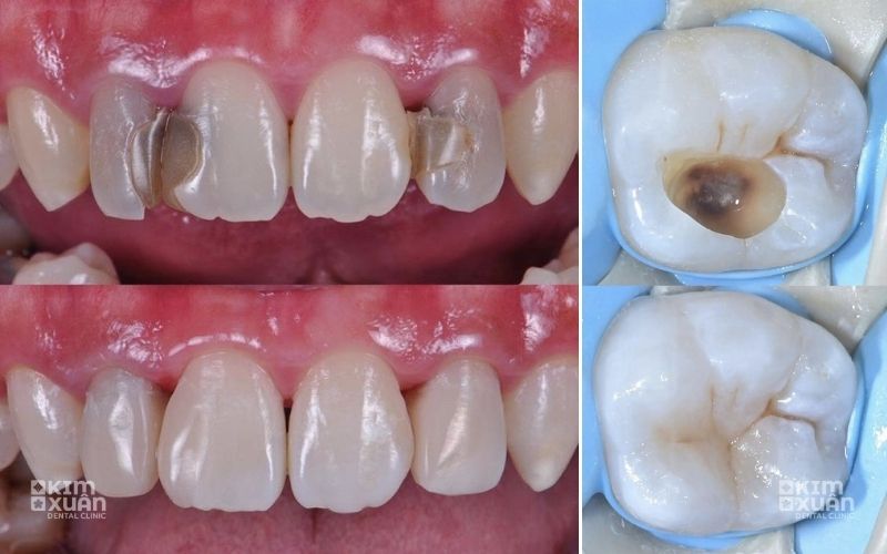
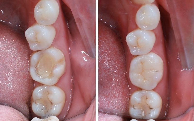
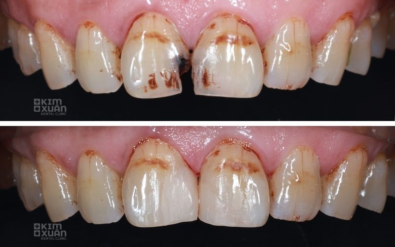
Ở giai đoạn sớm, sâu răng có thể điều trị đơn giản bằng trám răng. Tuy nhiên, nếu để kéo dài, răng có thể viêm tủy, áp xe, đau nhức kéo dài hoặc mất răng, khiến chi phí điều trị tăng cao và phức tạp hơn.
Xem Thêm: Dấu Hiệu Nhận Biết Răng Sâu Đến Tủy?

2. Chi Phí Chữa Răng Sâu Bao Nhiêu Tiền 2026
Thông thường, giá chữa răng sâu dao động từ 200.000 – 600.000 VNĐ/răng với các trường hợp trám răng thẩm mỹ. Mức chi phí này có thể cao hơn nếu răng bị tổn thương nặng hoặc cần điều trị chuyên sâu.
2.1 Chi phí phụ thuộc vào mức độ sâu răng
-
Sâu men, sâu ngà nhẹ: chỉ cần trám răng, chi phí thấp
-
Sâu ngà lớn: cần làm sạch mô răng tổn thương kỹ hơn trước khi trám
-
Sâu lan tủy: bắt buộc điều trị tủy, chi phí tăng đáng kể
Mức độ sâu răng càng nặng, thời gian điều trị và chi phí càng cao.
2.2 Chi phí phụ thuộc vào phương pháp điều trị
Trám răng trực tiếp
-
Thực hiện nhanh
-
Phục hồi hình dạng răng
-
Chi phí hợp lý
-
Phù hợp sâu răng nhẹ đến trung bình
Trám răng gián tiếp (Inlay/Onlay)
-
Áp dụng cho răng sâu lớn, vỡ nhiều mô
-
Độ bền và thẩm mỹ cao
-
Chi phí cao hơn trám trực tiếp
2.3 Chi phí phụ thuộc vào vật liệu trám răng
Amalgam
-
Chi phí thấp
-
Độ bền cao
-
Phù hợp răng hàm
-
Hạn chế về thẩm mỹ
Composite
-
Màu sắc tương đồng răng thật
-
Tính thẩm mỹ cao
-
Phù hợp cả răng cửa và răng hàm
-
Chi phí cao hơn Amalgam
Việc lựa chọn vật liệu trám sẽ được bác sĩ tư vấn dựa trên vị trí răng, mức độ sâu và nhu cầu thẩm mỹ của từng khách hàng.
2.4 Chi phí phụ thuộc vào nha khoa điều trị
Chi phí chữa răng sâu còn bị ảnh hưởng bởi:
-
Trình độ chuyên môn của bác sĩ
-
Hệ thống trang thiết bị chẩn đoán
-
Quy trình vô trùng và an toàn y khoa
Điều trị tại nha khoa uy tín giúp giảm nguy cơ biến chứng và hạn chế phải điều trị lại nhiều lần, từ đó tiết kiệm chi phí lâu dài.
2.5 Chi phí phụ thuộc vào số lượng răng cần chữa
Tổng chi phí điều trị sẽ tăng theo số răng bị sâu. Ví dụ: nếu chi phí trám răng là 300.000 VNĐ/răng, điều trị 4 răng sẽ tương đương 1.200.000 VNĐ.
Xem Thêm: Bảng Giá Dịch Vụ 2026 Tại Nha Khoa Kim Xuân

3. Bảng Giá Chữa Răng Sâu 2026 Tại Nha Khoa Kim Xuân
3.1. Bảng giá trám răng sâu bao nhiêu tiền?
Chi phí trám răng sâu phụ thuộc vào vật liệu trám, vị trí răng (răng sữa hay răng vĩnh viễn) và mức độ tổn thương mô răng. Dưới đây là mức giá trám răng, được liệt kê rõ ràng theo từng loại dịch vụ:
-
Trám GIC - răng sữa: khoảng 200.000 VNĐ / răng
-
Trám Composite - răng sữa: khoảng 300.000 VNĐ / răng
-
Trám Composite xoang I - VI (răng vĩnh viễn): khoảng 400.000 VNĐ / răng
-
Trám Composite xoang II - III - V (răng vĩnh viễn): khoảng 500.000 VNĐ / răng
-
Trám Composite xoang IV - V (răng vĩnh viễn): khoảng 600.000 VNĐ / răng
-
Trám sứ Inlay / Onlay: từ 4.000.000 - 6.000.000 VNĐ / răng
Lưu ý: Mức giá trám răng có thể thay đổi tùy tình trạng răng thực tế, mức độ sâu răng, vị trí răng cần điều trị và chỉ định chuyên môn của bác sĩ sau khi thăm khám trực tiếp.
Xem Thêm: Trám Răng Cửa Bị Mả Giá Bao Nhiêu?
3.2. Điều trị tủy răng sâu giá bao nhiêu tiền?
Chi phí điều trị tủy răng sâu phụ thuộc vào loại răng, số lượng ống tủy và mức độ phức tạp trong quá trình điều trị. Dưới đây là mức giá điều trị tủy răng sâu tham khảo, được liệt kê chi tiết theo từng nhóm răng:
-
Điều trị tủy răng sữa: khoảng 250.000 - 500.000 VNĐ / răng
-
Điều trị tủy răng cửa / răng nanh: khoảng 800.000 VNĐ / răng
-
Điều trị tủy răng cối nhỏ: khoảng 1.000.000 VNĐ / răng
-
Điều trị tủy răng cối lớn hàm dưới: khoảng 2.000.000 VNĐ / răng
-
Điều trị tủy răng cối lớn hàm trên: khoảng 2.000.000 VNĐ / răng
-
Điều trị tủy lại răng cửa - răng cối nhỏ: khoảng 1.000.000 - 1.500.000 VNĐ / răng
-
Điều trị tủy lại răng cối lớn: khoảng 2.500.000 VNĐ / răng
Xem Thêm: Cạo Vôi Răng Giá Bao Nhiêu? Bảng Giá Mới Nhất 2026
Xem Thêm: Giá Bọc Răng Sứ Tại TP. HCM Bao Nhiêu?
4. Các Yếu Tố Ảnh Hưởng Đến Chi Phí Chữa Răng Sâu
Chi phí chữa răng sâu không cố định, mà thay đổi tùy theo tình trạng răng và phương pháp điều trị. Những yếu tố ảnh hưởng trực tiếp đến chi phí bao gồm:
-
Mức độ sâu răng: Sâu răng nhẹ thường chỉ cần trám răng với chi phí thấp. Trường hợp sâu lan vào tủy, răng viêm hoặc nhiễm trùng sẽ phải điều trị tủy, khiến chi phí tăng cao hơn.
-
Phương pháp điều trị: Trám răng trực tiếp có chi phí hợp lý. Với răng sâu lớn hoặc răng yếu sau điều trị tủy, bác sĩ có thể chỉ định trám Inlay/Onlay hoặc phục hình răng, làm tăng tổng chi phí.
-
Vật liệu trám răng: Vật liệu trám có mức giá khác nhau. Loại vật liệu có độ bền và tính thẩm mỹ cao thường có chi phí cao hơn nhưng giúp răng sử dụng lâu dài và hạn chế sâu răng tái phát.
-
Vị trí răng cần điều trị: Răng cửa, răng nanh thường dễ thao tác và chi phí thấp hơn. Răng cối nhỏ và răng cối lớn phức tạp hơn nên chi phí điều trị thường cao hơn.
-
Số lượng răng bị sâu: Chi phí điều trị sẽ tăng theo số lượng răng cần chữa. Điều trị sớm giúp hạn chế sâu lan rộng và kiểm soát chi phí hiệu quả.
-
Tay nghề bác sĩ và trang thiết bị: Nha khoa có bác sĩ chuyên môn cao và trang thiết bị hiện đại giúp điều trị chính xác, giảm nguy cơ biến chứng và hạn chế điều trị lại.
-
Thời điểm điều trị: Phát hiện và điều trị sâu răng sớm giúp đơn giản hóa quy trình và tiết kiệm chi phí. Nếu để kéo dài, chi phí điều trị có thể tăng đáng kể.
5. Điều Trị Răng Sâu An Toàn Tại Nha Khoa Kim Xuân
Nha khoa Kim Xuân là địa chỉ được nhiều khách hàng tin chọn trong điều trị sâu răng và viêm tủy nhờ đảm bảo an toàn y khoa, minh bạch chi phí và hiệu quả điều trị lâu dài. Các yếu tố nổi bật bao gồm:
Quy trình thăm khám và điều trị theo chuẩn y khoa:
-
Mỗi trường hợp răng sâu đều được kiểm tra kỹ lưỡng, đánh giá mức độ tổn thương và tư vấn phương án điều trị phù hợp trước khi thực hiện.
Hệ thống trang thiết bị hỗ trợ chẩn đoán chính xác:
-
Ứng dụng công nghệ hiện đại giúp phát hiện sớm tổn thương răng, xác định chính xác vị trí sâu răng và hạn chế xâm lấn không cần thiết.
Vật liệu trám răng chính hãng, an toàn cho sức khỏe:
-
Sử dụng vật liệu nha khoa có nguồn gốc rõ ràng, đáp ứng tiêu chuẩn an toàn và độ bền lâu dài trong quá trình sử dụng.
Quy trình vô trùng nghiêm ngặt:
-
Phòng điều trị và dụng cụ nha khoa được vô trùng theo quy định, giúp hạn chế tối đa nguy cơ lây nhiễm chéo và biến chứng sau điều trị.
Xem Thêm: Trồng Răng Hàm Bị Sâu Giá Bao Nhiêu? Bảng Giá Chi Tiết 2026
Xem Thêm: Lấy Tủy Bọc Răng Sứ Bao Nhiêu?

Kết Luận
Chi phí chữa răng sâu năm 2026 dao động từ 200.000 - 600.000 VNĐ/răng, và có thể cao hơn trong trường hợp răng bị tổn thương nặng, viêm tủy hoặc cần điều trị chuyên sâu. Việc phát hiện và điều trị sâu răng sớm không chỉ giúp bảo tồn răng thật tối đa mà còn giảm chi phí điều trị và hạn chế các biến chứng nguy hiểm về sau.
Đặt lịch thăm khám răng sâu tại Nha khoa Kim Xuân để được chụp phim, chẩn đoán chính xác và tư vấn phương án điều trị phù hợp. Liên hệ ngay để được tư vấn và thăm khám miễn phí.
Nha Khoa Kim Xuân - Bình Thạnh TP. HCM
Địa Chỉ: 165 Ngô Tất Tố, Phường Thạnh Mỹ Tây, Tp Hồ Chí Minh
Hotline: 0899 922 668 (Viber, Zalo, FaceTime)
ZaLo: https://zalo.me/nhakhoakimxuan
WebSite: https://nhakhoakimxuan.com.vn