perloader
Th2 - Th7: 08:00 - 19:00
CN: 08:00 - 18:00
165 Ngô Tất Tố, Phường 22, Bình Thạnh, Hồ Chí Minh

Răng Cửa Bị Sâu Phải Làm Sao? Dấu Hiệu Nhận Biết & Điều Trị Sớm

Kiến thức răng miệng

Sâu Răng Cửa: Dấu Hiệu, Nguyên Nhân Và Cách Điều Trị Hiệu Quả

Sâu răng cửa là tình trạng thường gặp nhưng lại ảnh hưởng rất lớn đến thẩm mỹ nụ cười và sự tự tin khi giao tiếp. Do nằm ở vị trí dễ nhìn thấy, khi răng cửa bị sâu, người bệnh không chỉ cảm thấy ê buốt, khó chịu mà còn lo lắng răng sậm màu, xuất hiện đốm đen hoặc sứt mẻ. Về lâu dài, nếu không được phát hiện và điều trị sớm, sâu răng cửa có thể tiến triển nhanh, lan vào tủy răng, gây đau nhức kéo dài và ảnh hưởng nghiêm trọng đến sức khỏe răng miệng.


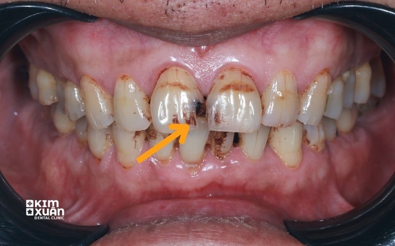
Răng Cửa Bị Sâu


1. Sâu Răng Cửa Là Gì? Khi Nào Răng Cửa Bị Sâu

Sâu răng cửa là tình trạng mô răng ở vùng răng cửa bị vi khuẩn trong mảng bám tấn công, gây tổn thương từ lớp men răng bên ngoài đến ngà răng và thậm chí lan sâu vào tủy nếu không được điều trị kịp thời. Tình trạng răng cửa bị sâu thường xuất hiện khi vệ sinh răng miệng chưa đúng cách, ăn nhiều đồ ngọt hoặc bỏ sót việc làm sạch kẽ răng và mặt trong răng cửa.

Do nằm ở vị trí phía trước nên sâu răng cửa thường có thể được phát hiện sớm thông qua các dấu hiệu sâu răng cửa như răng xuất hiện đốm nâu, đốm đen, răng sậm màu, ê buốt nhẹ khi ăn uống nóng lạnh hoặc thức ăn dễ bị mắc kẹt. Tuy nhiên, nhiều người vẫn chủ quan khi chưa có cảm giác đau rõ ràng, khiến sâu răng tiến triển âm thầm và gây tổn thương nghiêm trọng hơn về sau.


Sâu Răng Cửa


2. Dấu Hiệu Nhận Biết Răng Cửa Bị Sâu Sớm

Bạn có thể nghi ngờ răng cửa bị sâu khi xuất hiện một hoặc nhiều dấu hiệu dưới đây:

  • Răng cửa đổi màu: bề mặt răng xuất hiện các đốm trắng đục, nâu hoặc đen, đặc biệt ở kẽ răng hoặc mặt trong răng

  • Xuất hiện lỗ sâu nhỏ li ti trên bề mặt răng cửa, cảm nhận rõ khi dùng lưỡi hoặc soi gương

  • Ê buốt răng cửa khi ăn đồ nóng, lạnh hoặc thực phẩm ngọt

  • Hơi thở có mùi kéo dài dù đã vệ sinh răng miệng thường xuyên

  • Răng cửa sứt mẻ bất thường, không do va chạm mạnh

Phát hiện sớm sâu răng cửa giúp việc điều trị đơn giản hơn, giảm đau, tiết kiệm chi phí và bảo tồn răng thật tối đa.

Xem Thêm: Dấu Hiệu Nhận Biết Răng Sâu Vào Tủy


Dấu Hiệu Sâu Răng Cửa


3. Nguyên Nhân Khiến Răng Cửa Dễ Bị Sâu

Răng cửa có lớp men tương đối mỏng và thường xuyên tiếp xúc trực tiếp với thức ăn, nước uống hằng ngày. Nếu không được chăm sóc đúng cách, khu vực này rất dễ bị vi khuẩn tấn công và hình thành sâu răng cửa. Một số nguyên nhân khiến răng cửa bị sâu thường gặp gồm:

  • Vệ sinh răng miệng chưa đúng cách, chải răng qua loa hoặc bỏ sót mảng bám ở kẽ răng và mặt trong răng cửa

  • Ăn nhiều đồ ngọt, tinh bột, nước ngọt có gas, tạo môi trường thuận lợi cho vi khuẩn phát triển và phá hủy men răng

  • Men răng yếu hoặc bị mòn men, thường do chải răng sai kỹ thuật, dùng bàn chải quá cứng hoặc đánh răng ngay sau khi ăn đồ chua

  • Không khám răng định kỳ, khiến sâu răng cửa tiến triển âm thầm, chỉ phát hiện khi đã đau nhức hoặc tổn thương nặng

Hiểu rõ nguyên nhân giúp bạn chủ động phòng ngừa sâu răng cửa và bảo vệ răng thật hiệu quả hơn.

Xem Thêm: Răng Mẻ Có Trám Được Không? 

4. Sâu Răng Cửa Có Nguy Hiểm Không?

Câu trả lời là CÓ, đặc biệt khi răng cửa bị sâu nhưng không được điều trị kịp thời. Tùy mức độ tổn thương, sâu răng cửa có thể gây ra những ảnh hưởng khác nhau đến sức khỏe răng miệng và thẩm mỹ nụ cười.

4.1. Sâu răng cửa nhẹ

  • Tổn thương chỉ giới hạn ở lớp men răng

  • Thường chưa gây đau hoặc chỉ ê buốt nhẹ khi ăn đồ nóng, lạnh

  • Có thể điều trị bằng trám răng đơn giản, đảm bảo tính thẩm mỹ và bảo tồn răng thật tối đa

4.2. Sâu răng cửa nặng, lan vào tủy

  • Đau nhức kéo dài, đau tự phát hoặc đau về đêm

  • Gây viêm tủy, áp xe chân răng, ảnh hưởng đến mô xung quanh

  • Nguy cơ mất răng cửa nếu không được xử lý kịp thời và đúng cách

Vì vậy, khi xuất hiện dấu hiệu sâu răng cửa, người bệnh nên thăm khám nha khoa sớm để được chẩn đoán chính xác và lựa chọn phương pháp điều trị phù hợp, tránh biến chứng nguy hiểm về sau.

Xem Thêm: Trám Răng Có Cần Lấy Tủy Răng Không?

5. Cách Điều Trị Răng Cửa Bị Sâu Hiệu Quả, Đảm Bảo Thẩm Mỹ

Tùy theo mức độ sâu răng cửa, bác sĩ sẽ thăm khám và chỉ định phương pháp điều trị phù hợp nhằm loại bỏ tổn thương, bảo tồn răng thật và khôi phục thẩm mỹ nụ cười.

5.1. Trám răng cửa bị sâu

  • Áp dụng cho sâu răng cửa mức độ nhẹ đến trung bình

  • Loại bỏ mô răng bị sâu và phục hồi hình dáng, màu sắc răng tự nhiên

  • Thời gian thực hiện nhanh, ít xâm lấn, chi phí hợp lý

Xem Thêm: Trám Răng Cửa Bị Mẻ Giá Bao Nhiêu 2026

5.2. Điều trị tủy răng cửa

  • Chỉ định khi sâu răng đã lan vào tủy, gây đau nhức kéo dài

  • Loại bỏ mô tủy viêm, bảo tồn chân răng thật

  • Giúp giảm đau hiệu quả, ngăn ngừa viêm nhiễm và biến chứng nguy hiểm

Xem Thêm: Lấy Tủy Răng Giá Bao Nhiêu? Bảng Giá Chi Tiết

5.3. Bọc răng sứ hoặc dán sứ Veneer cho răng cửa bị sâu

  • Áp dụng khi răng cửa bị sâu nặng, tổn thương mô răng nhiều

  • Khôi phục thẩm mỹ tối đa, cải thiện màu sắc và hình dáng răng

  • Độ bền cao, ăn nhai ổn định, bảo vệ răng khỏi nguy cơ sâu tái phát

Việc lựa chọn phương pháp điều trị cần dựa trên thăm khám cụ thể, tránh tự ý trì hoãn khiến tình trạng sâu răng cửa tiến triển nặng hơn và tốn kém chi phí điều trị.

Xem Thêm: Bọc Răng Sứ Giá Bao Nhiêu?

Xem Thêm: Dán Sứ Veneer Giá Bao Nhiêu 1 Răng?


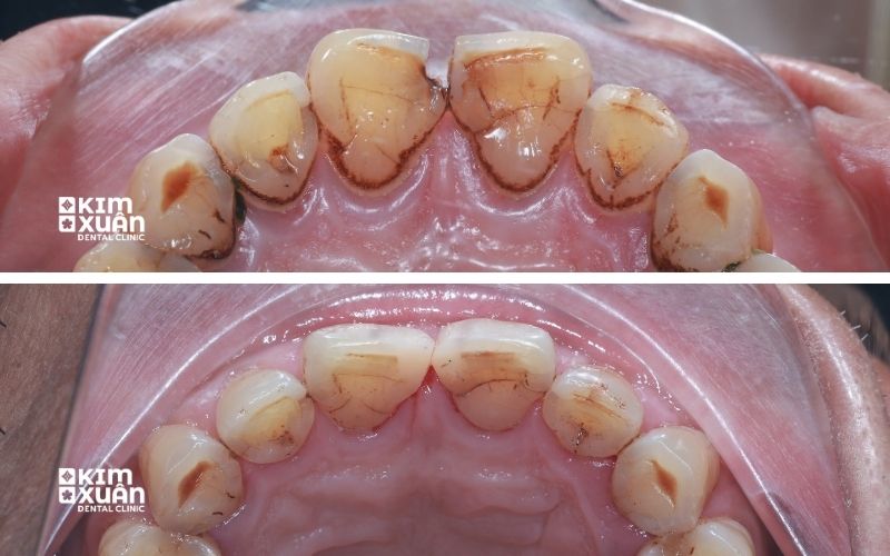
Ảnh trước Và Sau Khi Điều Trị Sâu Răng Cửa


6. Chi Phí Điều Trị Sâu Răng Cửa Bao Nhiêu Tiền?

Chi phí điều trị sâu răng cửa không cố định mà phụ thuộc vào nhiều yếu tố khác nhau, bao gồm:

  • Mức độ sâu răng cửa (sâu nhẹ, sâu trung bình hay đã lan vào tủy)

  • Phương pháp điều trị được chỉ định (trám răng, điều trị tủy, bọc răng sứ hoặc dán sứ Veneer)

  • Vật liệu phục hình sử dụng, đặc biệt với các phương pháp yêu cầu tính thẩm mỹ cao

Mức chi phí thường gặp:

  • Trám răng cửa bị sâu: chi phí thấp đến trung bình, áp dụng cho trường hợp sâu nhẹ - trung bình

  • Điều trị tủy răng cửa kết hợp phục hình: chi phí cao hơn do kỹ thuật phức tạp và cần nhiều bước điều trị

Để biết chi phí điều trị răng cửa bị sâu chính xác, người bệnh nên thăm khám trực tiếp tại nha khoa. Bác sĩ sẽ đánh giá mức độ tổn thương và tư vấn phương án điều trị phù hợp, hiệu quả và tối ưu chi phí.

Xem Thêm: Răng Sâu Lỗ To Có Trám Được Không?

Xem Thêm: Trám Răng Thẩm Mỹ Giá Bao Nhiêu Tại Nha Khoa Kim Xuân

Xem Thêm: Dán Răng Sứ Veneer 2 Răng Cửa Giá Bao Nhiêu Tiền?


Ảnh Trước Và Sau Khi Điều Trị Sâu Răng Cửa Tại Nha Khoa Kim Xuân


7. Cách Phòng Ngừa Sâu Răng Cửa Hiệu Quả

Để hạn chế nguy cơ sâu răng cửa và bảo vệ răng cửa luôn khỏe mạnh, bạn nên duy trì các thói quen chăm sóc răng miệng sau:

  • Đánh răng đúng cách ít nhất 2 lần/ngày, sử dụng bàn chải lông mềm và kem đánh răng chứa fluoride để làm sạch mảng bám

  • Sử dụng chỉ nha khoa thay cho tăm, giúp làm sạch kẽ răng và mặt trong răng cửa - nơi dễ tích tụ vi khuẩn gây sâu răng

  • Hạn chế đồ ngọt, tinh bột và nước ngọt có gas, đồng thời súc miệng hoặc uống nước lọc sau khi ăn

  • Khám răng định kỳ 6 tháng/lần, giúp phát hiện sớm dấu hiệu sâu răng cửa và điều trị kịp thời trước khi tổn thương nặng hơn

Thực hiện tốt các biện pháp trên sẽ giúp giảm nguy cơ sâu răng cửa, tiết kiệm chi phí điều trị và bảo vệ răng thật lâu dài.

Xem Thêm: Bọc Sứ 2 Răng Cửa Giá Bao Nhiêu Tiền?


Câu Hỏi Thường Gặp?

Răng cửa bị sâu có trám được không?

  • Có. Trong trường hợp sâu răng cửa chưa lan vào tủy, bác sĩ có thể điều trị bằng trám răng thẩm mỹ để loại bỏ mô sâu và phục hồi hình dáng, màu sắc răng tự nhiên.

Sâu răng cửa có cần lấy tủy không?

  • Không phải trường hợp nào cũng cần lấy tủy. Việc điều trị tủy chỉ được chỉ định khi sâu răng đã gây viêm tủy, xuất hiện đau nhức kéo dài hoặc đau tự phát. Nếu phát hiện sớm, răng cửa bị sâu vẫn có thể điều trị bảo tồn mà không cần lấy tủy.

Trám răng cửa có bền không?

  • Có. Trám răng cửa có thể duy trì nhiều năm nếu sử dụng vật liệu phù hợp và người bệnh chăm sóc răng miệng đúng cách, đánh răng đều đặn và tái khám định kỳ theo hướng dẫn của bác sĩ.


Kết Luận

Sâu răng cửa không chỉ ảnh hưởng đến thẩm mỹ nụ cười mà còn tiềm ẩn nhiều nguy cơ cho sức khỏe răng miệng nếu không được điều trị kịp thời. Việc chủ động thăm khám sớm giúp phát hiện sâu răng ngay từ giai đoạn nhẹ, từ đó bảo tồn răng thật tối đa, giảm đau, tiết kiệm chi phí và duy trì nụ cười tự nhiên lâu dài.

Nếu bạn đang có dấu hiệu nghi ngờ sâu răng cửa, hãy đến Nha khoa Kim Xuân để được thăm khám và tư vấn trực tiếp. Đội ngũ bác sĩ sẽ đánh giá chính xác tình trạng răng và đề xuất phương án điều trị phù hợp, an toàn và thẩm mỹ cho từng trường hợp.

Liên hệ Nha khoa Kim Xuân ngay hôm nay để được kiểm tra răng miệng và tư vấn miễn phí chi tiết, giúp bạn an tâm bảo vệ nụ cười khỏe đẹp mỗi ngày.


Nha Khoa Kim Xuân - Bình Thạnh TP. HCM

Địa Chỉ: 165 Ngô Tất Tố, Phường Thạnh Mỹ Tây, Tp Hồ Chí Minh

Hotline: 0899 922 668 (Viber, Zalo, FaceTime)

ZaLo: https://zalo.me/nhakhoakimxuan

WebSite: https://nhakhoakimxuan.com.vn

Thứ Năm, 15 tháng 1, 2026

Liên hệ 0899922668


CÔNG TY TNHH NHA KHOA KIM XUÂN SMILE

Số giấy phép: 00424/HCM-GPHĐ - Ngày cấp: 30/06/2017

Hình thức tổ chức: Phòng khám

Loại hình: Phòng khám chuyên khoa Răng Hàm Mặt

Thời gian hoạt động: Thứ 2 đến Thứ 7: từ 08 giờ 00 đến 20 giờ 00; Chủ nhật: từ 08 giờ 00 đến 18 giờ 00

Tra cứu: Cổng thông tin điện tử Sở Y Tế TP. Hồ Chí Minh

165 Ngô Tất Tố, Phường 22, Bình Thạnh, Hồ Chí Minh

Danh mục

Liên hệ với chúng tôi

Điện thoại

0899922668

Email

nhakhoakimxuansmile@gmail.com

Van phòng chính

165 Ngô Tất Tố, Phường 22, Bình Thạnh, Hồ Chí Minh

Ngôn ngữ

Đăng ký nhận tin !